宫颈免疫组化

姐妹们,帮看下我的免疫组化结果cin2,有经历过的姐妹吗
图片尺寸1080x1308
宫颈活检为什么还要免疫组化是不是很严重啊
图片尺寸1080x1920
宫颈活检为什么还要免疫组化是不是很严重啊
图片尺寸1080x810
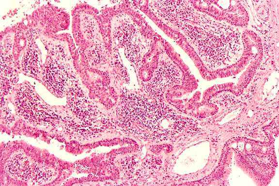
免疫组化染色提示宫颈高级别上皮内瘤变
图片尺寸1200x2133
42阳,活检高度病变2-3级不确定,免疫组化是cin2需要微创手术,做利普刀
图片尺寸1080x1439
宫颈活检出来了又要我做免疫组化
图片尺寸911x1620
宫颈活检(新加免疫组化)
图片尺寸960x720![打赏帖 cin2累及腺 免疫组化p16阴性还需要手术吗? [病例帖]](https://i.ecywang.com/upload/1/img2.baidu.com/it/u=4038612881,3930789652&fm=253&fmt=auto&app=138&f=JPEG?w=667&h=500)
打赏帖 cin2累及腺 免疫组化p16阴性还需要手术吗? [病例帖]
图片尺寸888x666
2019年5月12 查出宫颈cin22020年3月16 利普刀九个月(术后第二次
图片尺寸961x961
宫颈活检以及免疫组化结果
图片尺寸1080x809
宫颈癌免疫组化的结果真是不敢想象
图片尺寸1080x1079
宫颈活检,协助诊断(免疫组化公布)
图片尺寸960x720
病理免疫组化结果什么意思求专业人士解答
图片尺寸960x683
宫颈癌筛查免疫组化结果_月经_阴道炎_宫颈癌_hpv_黄体酮_跳绳_运动
图片尺寸1080x810
宫颈处正常鳞状上皮免疫组化p16为阴性(左;仅有胞质着色);而高级鄙舷
图片尺寸1028x581
宫颈活检(新加免疫组化)
图片尺寸960x720
宫颈活检,协助诊断(免疫组化公布)
图片尺寸960x720
"阴道壁":免疫组化示:麟状上皮细胞p16(-),ki-67( ,约30%),结合免疫表
图片尺寸1152x864
科普篇 | 宫颈癌免疫组化报告怎么看?p16,ki67是什么意思?
图片尺寸576x384
宫颈活检(新加免疫组化)
图片尺寸960x720