对颌牙

对颌牙伸长这会导致更严重的咬合紊乱及缺牙间隙的丧失,之后想要镶牙
图片尺寸720x551
如果牙齿缺失又长期没有做处理,就会出现邻牙的倾斜及对颌牙的伸长
图片尺寸1223x424
对牙合伸长的正畸病例王宇嘉
图片尺寸620x388
对颌牙伸长怎么办呐
图片尺寸1609x1211
对颌牙伸长怎么办呐
图片尺寸1519x903
牙齿缺失对颌牙伸长需要压低后修复
图片尺寸640x426
磨牙伸长怎么办?(配图) - 好大夫在线
图片尺寸610x406
牙齿缺得太久了,对颌牙已经伸长占了下牙的空位,要怎么办
图片尺寸440x608
牙性反颌
图片尺寸416x253
缺牙后长久不镶牙导致对颌牙齿伸长怎么办
图片尺寸828x1790
对颌牙伸长1mm可以种植牙吗医生说可对长长牙做磨小处理
图片尺寸508x350
对牙合伸长的正畸病例王宇嘉
图片尺寸620x374
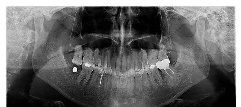
图8-20a缺牙间隙高度不够47缺失,但对颌牙伸长后,缺牙间隙只有2~3mm图
图片尺寸781x347
咬合力量或充填式牙尖的楔人作用,致使对颌牙间的接触点发生瞬间分离
图片尺寸694x480
对颌牙伸长怎么办呐
图片尺寸646x426
对颌牙伸长怎么办呐
图片尺寸2090x807
对牙合伸长的正畸病例王宇嘉
图片尺寸620x439
信号来了种植牙要进集采种牙刷医保有望了
图片尺寸1080x810
5,阻生牙智齿的对颌,如果没有对抗的智齿来咬,有时会发生过度萌发
图片尺寸639x415
长期缺牙对颌牙伸长模型
图片尺寸864x486