对颌牙图片

6岁娃长出双排牙,医生提醒:有这些习惯赶紧改_孩子_牙齿_乳牙
图片尺寸1006x1380
深圳种植牙96缺牙时间长对颌牙伸长了怎么办?
图片尺寸1004x627
导语:正畸治疗可以改善患者牙颌面部的美观,功能和健康.
图片尺寸640x393
中华医学会的数据显示,中国青少年的错颌畸形(牙齿不齐)发病率很高,但
图片尺寸640x429
今日分享一例下颌后牙缺失长久不镶牙,导致上颌对颌牙伸长了,虽然种上
图片尺寸828x1790
正畸-正颌联合治疗:是指对生长发育完成后的严重骨性牙颌畸形配合外科
图片尺寸640x482
对上牙弓施以压力,这时候牙齿里外的压力是平衡的,我们的颌骨就能正常
图片尺寸690x888
盐城大丰牙益康口腔,牙齿还没有排齐,已经调整2年3个月了,医生说不
图片尺寸690x440
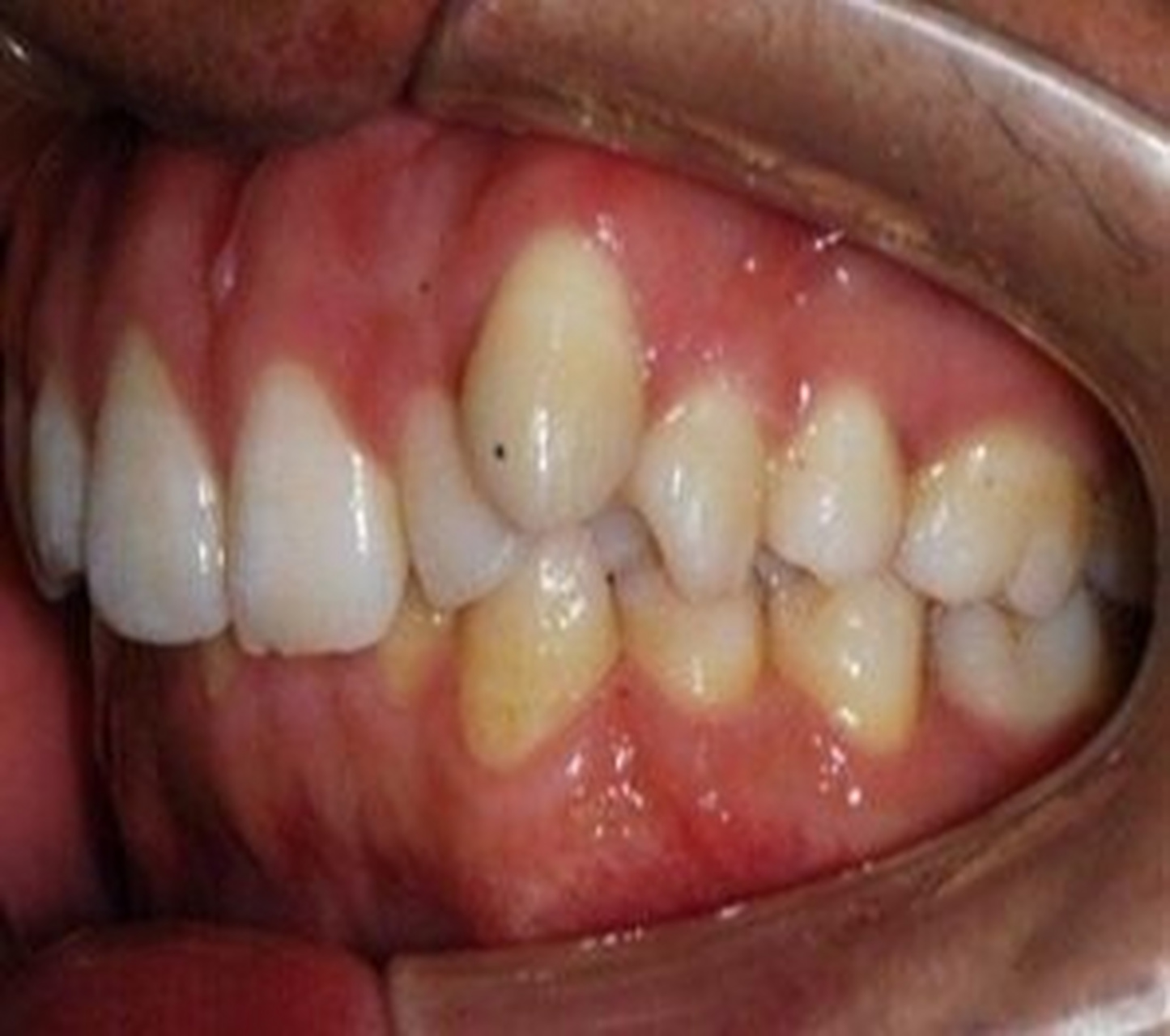
对颌牙伸长
图片尺寸828x481
牙齿长期缺失不补,对颌牙伸长至脱落真不是危言耸听!
图片尺寸1080x2340
对颌牙伸长怎么办呐
图片尺寸1609x1211
拔了4颗牙,打了5个钉子,改善了一点点外貌,有骨性牙齿上颌骨突出图片
图片尺寸690x388
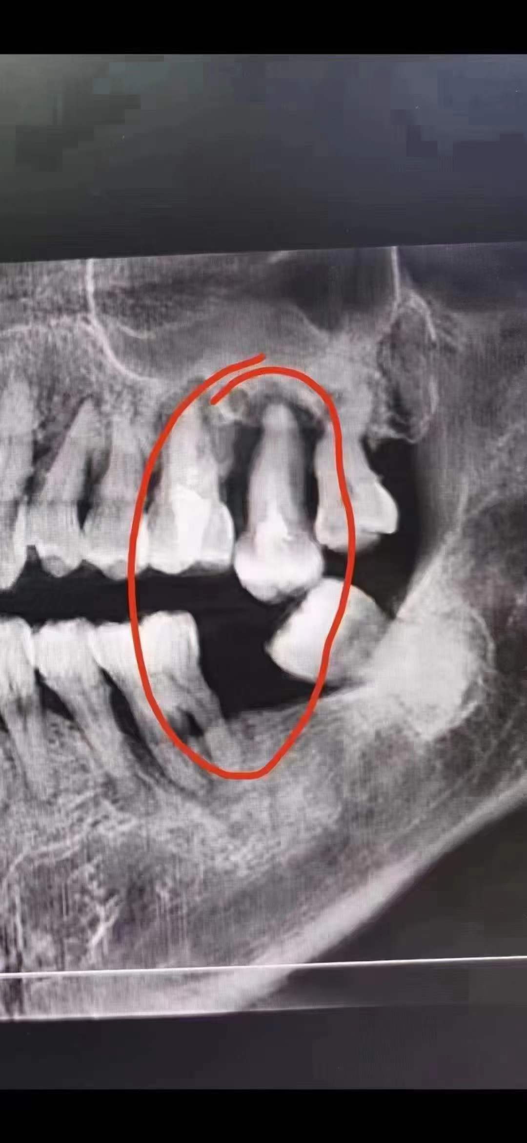
缺牙不及时去种牙就会导致对颌牙伸长,垂直间隙过小,给种牙带来难度
图片尺寸688x435
邢种植专牙家:等牙掉光了再做全口种植牙好吗?
图片尺寸850x570
最终通过正畸将所有的牙齿"改斜归正",上颌拔除两颗双尖牙,下颌利用
图片尺寸690x518
"龅牙"是深覆颌还是深覆盖,两者如何区分 很多家长在咨询儿童牙齿矫治
图片尺寸1445x1280
隐形牙套不仅在美观度,舒适度上更有优势,而且适用于各种错颌畸形.
图片尺寸690x472
下颌第三磨牙,与对颌牙上颌8还有咬合,用了个印章法!
图片尺寸690x455
下颌第三磨牙,与对颌牙上颌8还有咬合,用了个印章法!
图片尺寸690x675
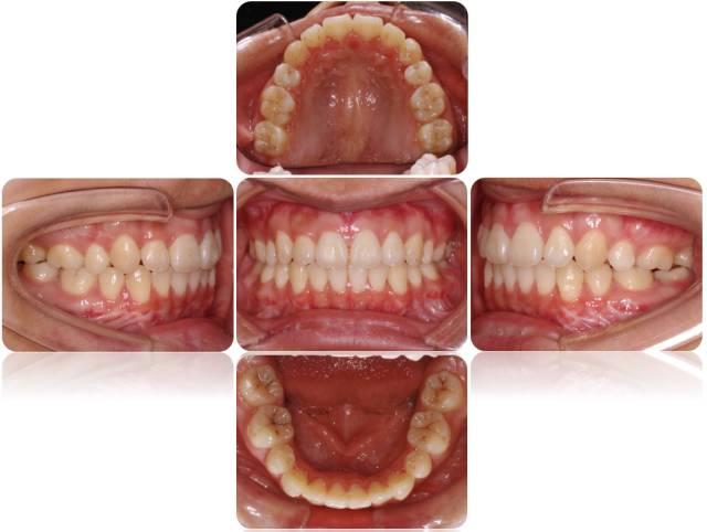
女性患者32岁,她的牙齿问题是:前牙反咬19俗称(地包天),牙齿排列不
图片尺寸690x1325