小孩手骨折

深圳5岁男童手骨折家长却说是老师虐待孩子
图片尺寸750x947
幼儿尺挠骨远端骨折微创能治疗好吗
图片尺寸407x272
心疼!一岁宝宝扶板凳学步双指被砸骨折
图片尺寸1280x721
男孩手骨折4家医院说要手术新洲医生2分钟用手复位
图片尺寸540x960
骑摩拜自行车粉碎性骨折医疗费用摩拜全报
图片尺寸1080x1439
微创解决男孩掌骨骨折,成全妈妈的爱"不留疤痕"
图片尺寸232x291
术中,医生依次进行了清创,克氏针固定骨折,肌腱缝合,血管神经吻合等一
图片尺寸544x353
一个手骨折的小男孩的肖像
图片尺寸800x1200
手骨折,上石膏
图片尺寸1200x800
多名中小学生摔倒后桡骨远端骨折家长需要提高警惕
图片尺寸514x187
求帮忙,10岁的小孩,上体育课手摔骨折了,麻烦看一下接的有问题么
图片尺寸960x1280
看到效果时家长高兴地说"真是太感谢你们了,不仅让小孩骨折精准复位
图片尺寸449x599
刘三屋中医骨伤医院深夜3秒钟搞定两岁幼童骨折
图片尺寸1080x810
微创解决男孩掌骨骨折,成全妈妈的爱"不留疤痕"
图片尺寸343x229
求帮忙,10岁的小孩,上体育课手摔骨折了,麻烦看一下接的有问题么
图片尺寸960x1280
14岁的小孩,掌骨远端骨折
图片尺寸648x486
为什么小孩容易骨折?骨科医师教你雨雪天如何避免!
图片尺寸640x510
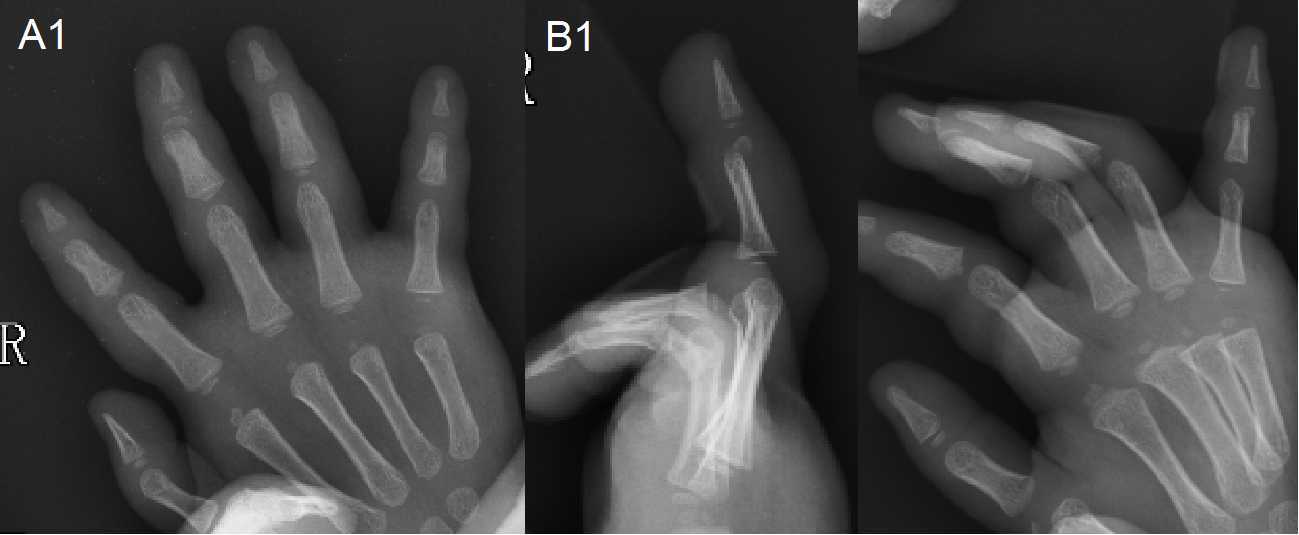
儿童指骨骨折我们也坚持闭合复位不开刀
图片尺寸1299x535
篮球少年暴力抢球左小指受伤骨折
图片尺寸386x244
小孩前臂远端骨折术后手面肿胀,一般多久消肿
图片尺寸584x1040