小肠显微镜

小肠绒毛光镜照片
图片尺寸1536x1152
这个是显微镜下的小肠切片.
图片尺寸1080x1440
小肠绒毛,光镜下
图片尺寸1200x793
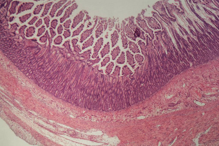
横截面小肠
图片尺寸1200x960
消化道各部位显微镜切片
图片尺寸1080x810
小肠吸收在显微镜下小肠部分照片
图片尺寸487x300
小肠,局部,肠胃,显微镜
图片尺寸574x350
在显微镜下小肠部分
图片尺寸720x449
功能,我的身体有整整4层厚厚的组织,用你们人类的显微镜观察可以看到
图片尺寸390x356
显微镜下的生物
图片尺寸1200x1600
小肠切片
图片尺寸750x750
小肠里面全是褶皱,做成香肠却变得光溜溜
图片尺寸720x468
显微镜下观察肠道动物组织
图片尺寸1200x904
小肠结肠炎大肠切片有炎症(结肠炎)的显微镜照片.照片
图片尺寸450x300
显微镜下小肠c.s.
图片尺寸1200x797
显微镜下的肠细胞
图片尺寸1200x800
显微镜下的肠细胞
图片尺寸1200x800
小肠结肠炎大肠切片有炎症(结肠炎)的显微镜照片.照片
图片尺寸450x300
图,俯视,室内,特写,白天,白色背景,仪器,检查,反射,分析,科学,显微镜
图片尺寸539x819
显微镜下观察人的肠壁
图片尺寸1200x800