小脑下蚓部
![【讨论】小脑蚓部占位(病理结果已公布) [病例帖]](https://i.ecywang.com/upload/1/img2.baidu.com/it/u=2053060769,2232626042&fm=253&fmt=auto&app=138&f=JPEG?w=500&h=500)
【讨论】小脑蚓部占位(病理结果已公布) [病例帖]
图片尺寸866x866
解剖学 裂原 面上观 脑半小球 脑小c erbeleuml 形 外蚓部 vemrs
图片尺寸1080x810
小脑解剖与定位ppt
图片尺寸1080x810
脑 脚层 脚层 额上回 额中回 嗅束沟 杏仁核 脑桥 第四脑室 小脑蚓部
图片尺寸1080x810![【讨论】小脑蚓部占位(病理结果已公布) [病例帖]](https://i.ecywang.com/upload/1/img0.baidu.com/it/u=1399922428,2809821579&fm=253&fmt=auto&app=138&f=JPEG?w=500&h=500)
【讨论】小脑蚓部占位(病理结果已公布) [病例帖]
图片尺寸866x866
小脑解剖 大脑结构与功能 全国物理竞赛复赛 解剖神经系统 局部解剖
图片尺寸1080x810
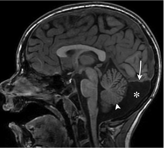
小脑蚓部占位,大家看看靠近什么诊断?
图片尺寸2926x1385
小脑蚓部病灶
图片尺寸2667x2000
颞叶 桥臂 桥脑 小脑蚓部
图片尺寸1080x810
脑桥小脑 三角池 鼓室 小脑半球 颞骨岩部 脑桥 第四脑室 小脑蚓 第Ⅳ
图片尺寸1080x810
图片预览 - 丁香园论坛 - 专业医生社区,医学,药学
图片尺寸832x468
蚓部损伤→闭目难立征(romberg征)b.
图片尺寸1080x810
鸡冠 直回 前床突 海绵窦 鞍背 第四脑室 乳突气房 小脑半球 小脑蚓部
图片尺寸1080x810
小脑下前面
图片尺寸1548x905
头部断层解剖学ppt
图片尺寸1080x810
第四脑室中部 小脑延髓池 垂体柄45 杏仁体46 脑桥32 面神经与前庭蜗
图片尺寸1080x810
bv和bt角
图片尺寸640x800
丁香园论坛
图片尺寸640x577
大脑小脑(两侧小脑半球)脊髓小脑(小脑蚓部和蚓旁区)前庭小脑(绒球
图片尺寸1164x703
ppt.convertor
图片尺寸1080x810