小鼠卵巢切片

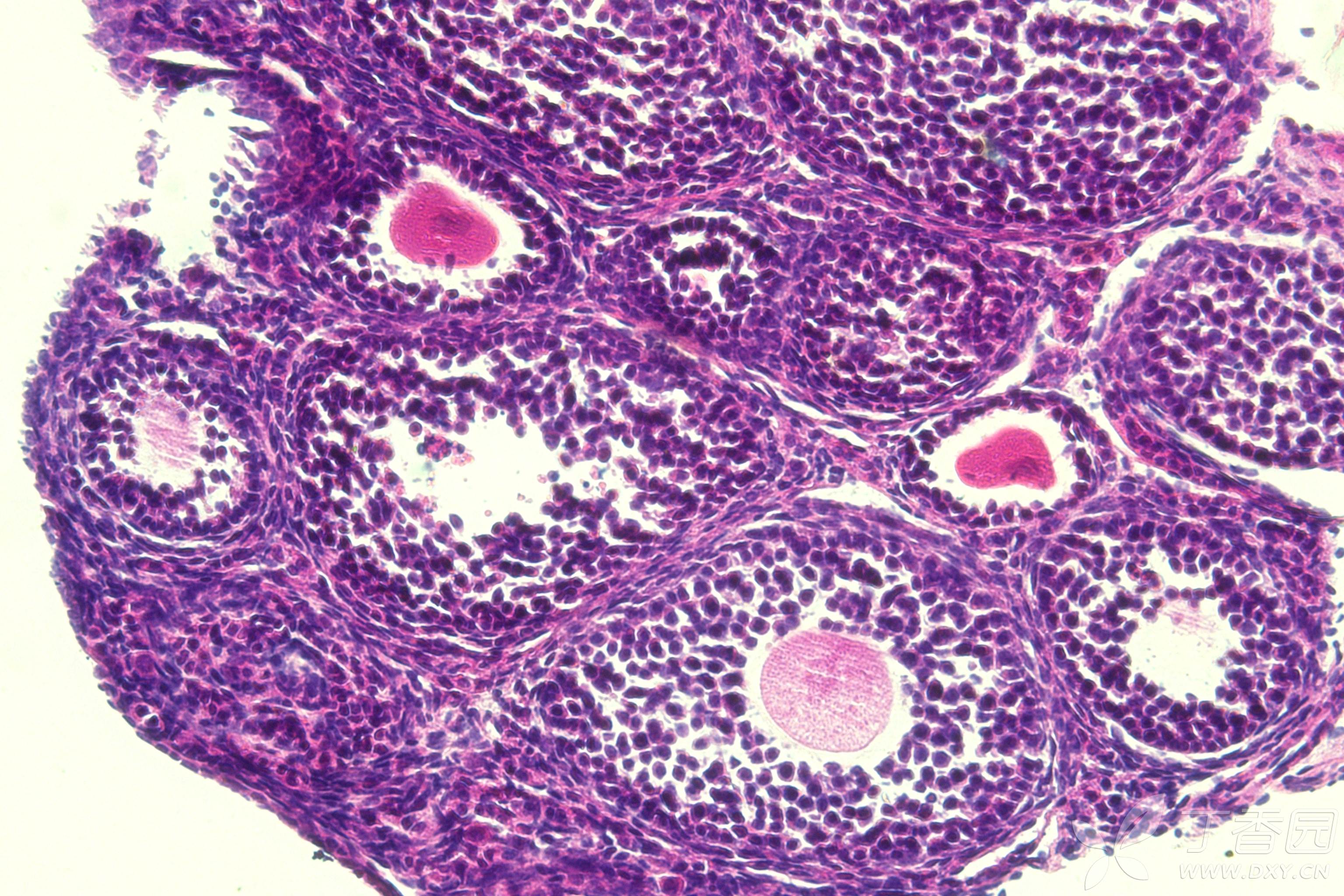
请大家帮忙辨认小鼠卵巢组织切片的各等级卵泡
图片尺寸3401x3071
请问在小鼠卵巢切片中,红色圈里的是什么
图片尺寸2776x2080
小鼠卵巢石蜡切片细胞变形且间隙增大有裂痕
图片尺寸3072x2048
小鼠卵巢切片卵泡计数求助
图片尺寸1242x1850
求帮忙辨认小鼠卵巢的黄体
图片尺寸1165x867
小鼠卵巢石蜡切片细胞变形且间隙增大有裂痕
图片尺寸3072x2048
请大家帮忙辨认小鼠卵巢组织切片的各等级卵泡
图片尺寸3273x2577
小鼠卵巢石蜡切片求助
图片尺寸1323x1043
求帮忙辨认小鼠卵巢的黄体
图片尺寸1166x873
新手一枚,近期做了小鼠卵巢he染色,但是不知如何分析图片.
图片尺寸1360x1024
请教各位大神这周是小鼠卵巢he染色照片画圈的是什么是正常卵泡闭锁
图片尺寸547x632
谢谢啦,文献中说多囊卵巢小鼠的卵巢形态学检测显示卵巢呈现明显的
图片尺寸2776x2080
图示器官是:卵巢 b.白色线条所围结构叫:初级卵泡
图片尺寸1080x810
1免疫组化检测小鼠卵巢组织中pi3k,akt,p_第1页
图片尺寸920x1302
【求助】请教小鼠子宫形态学
图片尺寸600x450
4-pba和3-ma对cddp处理小鼠卵巢组织学的影响4-pba和3-ma对cddp处理
图片尺寸543x731
图2:小鼠dacf13在卵巢中的表达和功能研究.
图片尺寸411x402
照片中所示的是用奥林巴斯倒置显微镜拍摄的小鼠卵巢组织he染色切片
图片尺寸1080x766
对照小鼠卵巢igf-1弱染色,dhea小鼠染色强,dhea和肉桂
图片尺寸624x460
使用 eed (e4l6e) xp rabbit mab 对石蜡包埋的小鼠子宫内膜进行免疫
图片尺寸520x350