干酪样肺炎

干酪性肺炎——丁香园
图片尺寸1706x1200
干酪样肺炎
图片尺寸268x407
干酪性肺炎——丁香园
图片尺寸1721x1200
(图) 儿童干酪性肺炎
图片尺寸895x733
求助可以诊断干酪样肺炎吗
图片尺寸4096x1840
空洞形成 小叶性干酪样肺炎
图片尺寸1080x810
呼吸内科学(医学高级):肺结核,结核性胸膜炎测试题(考试必看)
图片尺寸163x502
求助可以诊断干酪样肺炎吗
图片尺寸4096x1840
干酪性肺炎
图片尺寸268x293
结核结节 干酪样坏死 空洞
图片尺寸1080x810
search results for: 干酪性肺炎x线片 - msd诊疗手册专业版
图片尺寸1000x692
肺部干酪样结节,每天死亡100多
图片尺寸3328x1872
干酪性肺结核——潘军平老师之疱丁解牛
图片尺寸512x512
干酪性肺炎——丁香园
图片尺寸1280x960
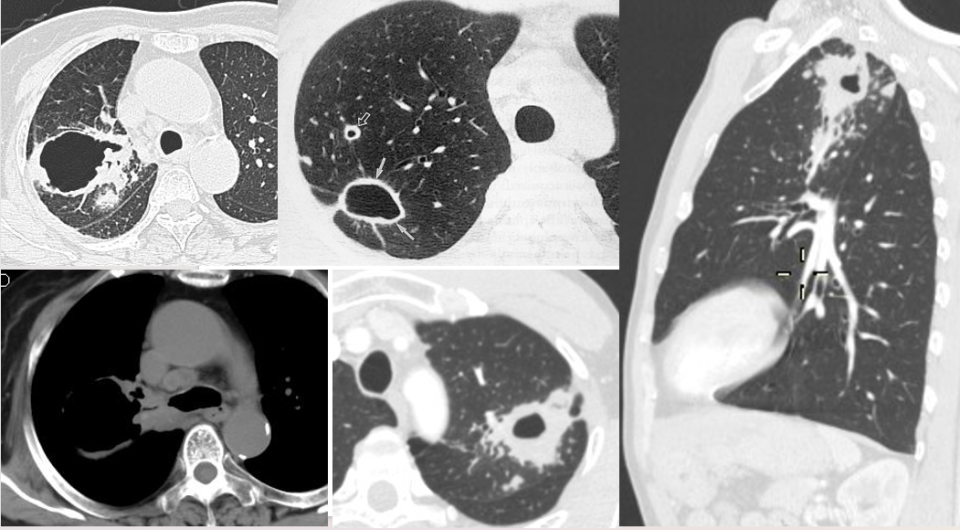
高莉教授:从呼吸科最常见的肺部感染基本影像,谈临床
图片尺寸960x530
我们要想到两个病:在具有流行性和季节性的时候,想到病毒性肺炎的可能
图片尺寸960x485
刚才有两个对比的病例中,有个患者同样是经过抗感染,2个月后肿块没有
图片尺寸960x437
干酪样坏死(肺结核)
图片尺寸640x335
鉴别诊断:干酪性肺炎大叶性肺炎01
图片尺寸514x407
结核空洞内较干净 真菌空洞内多有填充物 干酪性肺炎 真菌空洞 65
图片尺寸1080x810