幼年型乳头状瘤

周围型/外周型导管内乳头状瘤导管瘤
图片尺寸1280x1706
想知道乳头上长的同色小肉球 大概有黄豆大 那是什么 不痛不痒 不过好
图片尺寸600x600
据了解,这是一种很常见的皮肤病变,当皮肤黏膜被乳头瘤病毒感染的时候
图片尺寸609x417
周围型/外周型导管内乳头状瘤导管瘤
图片尺寸1450x1706
在女性乳腺健康的旅途中,导管内乳头状瘤或许是一个不那么起眼,但绝
图片尺寸2609x1280
乳腺导管扩张(导管内乳头状瘤)
图片尺寸1480x1706
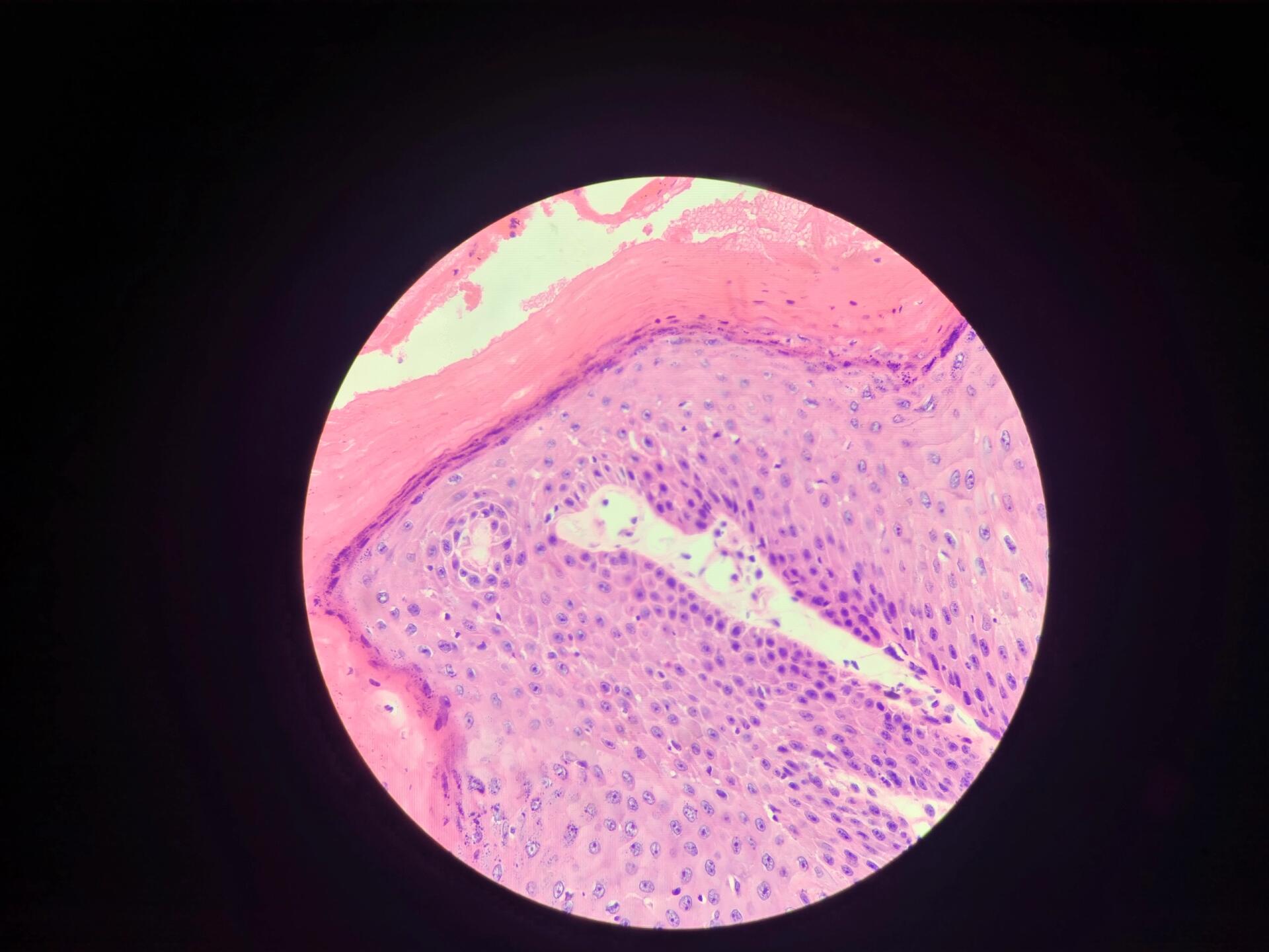
皮肤乳头状瘤 上课记录7115
图片尺寸1920x1440
疣,孩子手指上的乳头状瘤.微距拍摄,选择性对焦,特写,文字空间.
图片尺寸800x534
皮肤乳头状瘤 上课记录7115
图片尺寸1920x1440
楼主他克莫斯2009-12-27 17:51:41 答案:乳头瘤样黑素细胞痣 部位
图片尺寸1024x768
那些年的乳腺隐患——乳头状瘤的遭遇
图片尺寸960x1280
关于食管乳头状瘤
图片尺寸1079x1322
喉乳头状瘤
图片尺寸827x709
越抠越多!身上长的小疙瘩,或是hpv病毒感染
图片尺寸700x339
协管瘤白种人皮肤乳头状瘤照片
图片尺寸438x300
0中叫乳房幼年型癌07请教一下赵老师,患者因腮腺高级别分泌性腺癌
图片尺寸873x1014
急急急 亲们看看这是怎么回事,宝宝11天,乳头处长个白点
图片尺寸375x501
乳腺导管内乳头状瘤
图片尺寸3072x4096
双乳导管内乳头状瘤
图片尺寸1080x1282
关于食管乳头状瘤
图片尺寸1080x970