弥漫性肝癌

弥漫型肝癌
图片尺寸961x701
弥漫性肝癌怎么办?还有救吗?医生强调:以这种治疗方案为主!
图片尺寸640x360
晚期弥漫性肝癌,经治疗后肿瘤缩小,生活质量显著提高
图片尺寸640x690
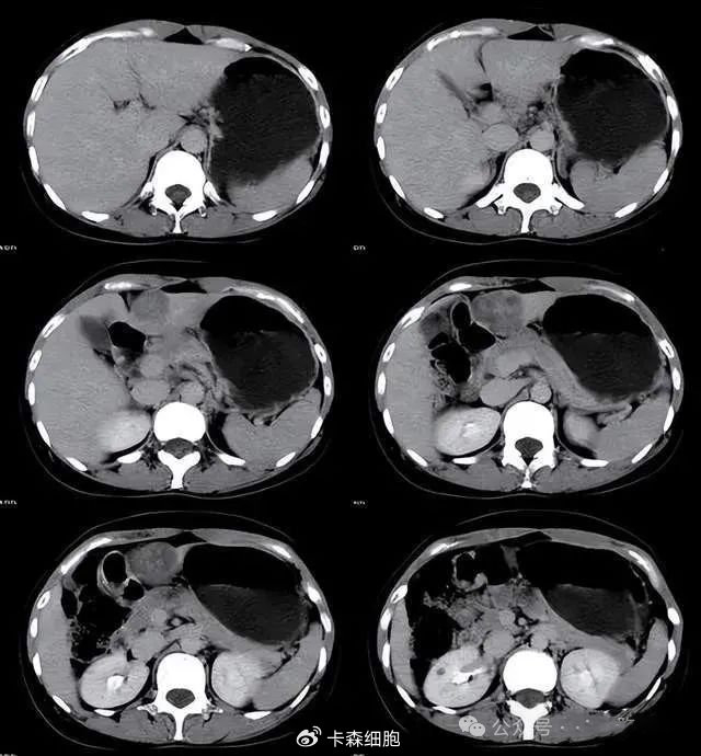
「病例分享」弥漫性肝癌的病理与影像表现
图片尺寸640x480
又一例巨块型肝癌!这个病人是一个58岁的男性,肚子胀,疼,将 - 抖音
图片尺寸932x700
弥漫型肝癌图
图片尺寸750x500
曾经碰到一个肝癌晚期的病人,60岁,肝内弥漫性肝癌伴有门静脉癌栓 一
图片尺寸1705x1280![【读片】男,68岁,肝脏弥漫性改变 [病例帖]](https://i.ecywang.com/upload/1/img2.baidu.com/it/u=4263614362,1297265634&fm=253&fmt=auto&app=138&f=JPEG?w=712&h=500)
【读片】男,68岁,肝脏弥漫性改变 [病例帖]
图片尺寸2127x1494
来看看号称癌中之王的肝癌长什么样?
图片尺寸1241x1280
体检发现肝部有阴影,1年后全身发黄
图片尺寸640x410
前段时间我门诊上来了一位36岁男子,家里有肝癌史,自己有从小有乙肝
图片尺寸1080x619
肝硬化是一种由不同病因长期作用于肝脏引起的慢性进行性,弥漫性肝病
图片尺寸750x500
弥漫型:癌结节较小,弥漫分布 1.
图片尺寸1080x810
肝愿同行丨免疫联合治疗2周期后pr,伴门静脉癌栓的弥漫性肝癌患者迎新
图片尺寸994x350
原发性肝癌(弥漫型)并门静脉癌栓 不知道该怎么办,我爸爸才
图片尺寸1622x1280
【求助】酒精性肝硬化失代偿期 弥漫性肝癌待排,诊断不是很明确,治疗
图片尺寸640x853
弥漫性肝癌
图片尺寸827x700![【读片】男,68岁,肝脏弥漫性改变 [病例帖]](https://i.ecywang.com/upload/1/img2.baidu.com/it/u=4137421277,2983565648&fm=253&fmt=auto&app=138&f=JPEG?w=711&h=500)
【读片】男,68岁,肝脏弥漫性改变 [病例帖]
图片尺寸2103x1478
肝癌是中国常见的恶性肿瘤之一,其症状可以因肿瘤的大小,位置以及是否
图片尺寸660x406
真实案例分享:弥漫性肝癌合并门静脉癌栓,还有方法治疗吗?
图片尺寸606x1029