弹性纤维染色

弹性纤维染色 - 实验室整体服务;医学实验服务;医学课题设计
图片尺寸542x408
真皮弹性纤维碎裂(弹性纤维染色×200)
图片尺寸1000x670
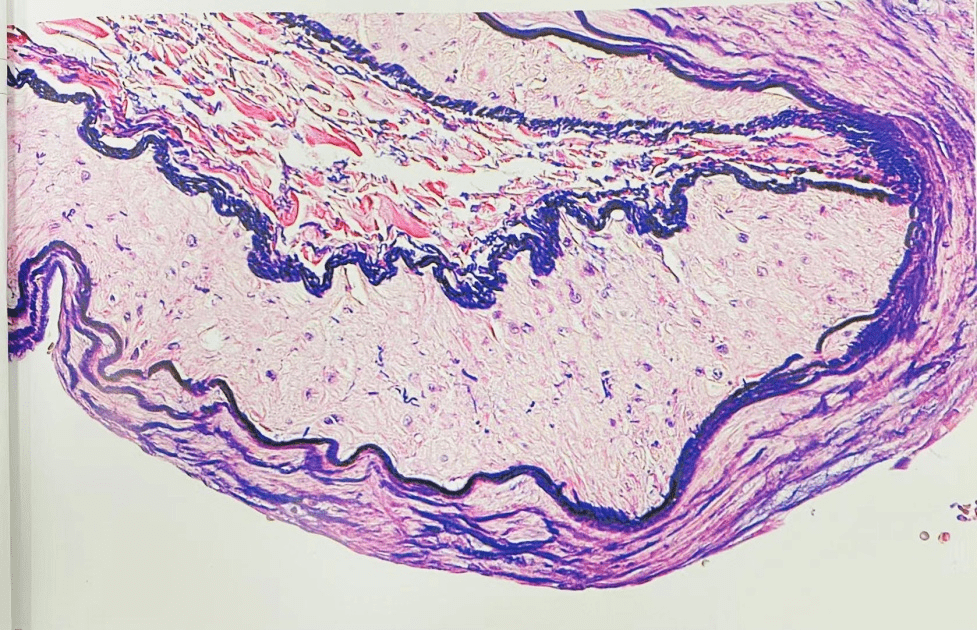
染色弹性纤维光镜结构.图片来源
图片尺寸960x617
弹性纤维染色
图片尺寸500x374
真皮浅层带状弹性纤维消失(弹性纤维染色×40)
图片尺寸885x621
lycra t-400弹性纤维的染色
图片尺寸1488x1973
【衡道丨干货】弹力纤维特殊染色的广谱应用
图片尺寸843x577
ipp免疫组化 弹性纤维
图片尺寸1600x1200
弹力纤维e.v.g染色液
图片尺寸465x306
维多利亚蓝弹力纤维染色
图片尺寸2592x1728
弹力纤维染色
图片尺寸868x475
弹力纤维间苯二酚碱性品红染色
图片尺寸600x445
可见真皮中弹性纤维减少,并有断裂,破损呈颗粒状(地衣红染色×100)
图片尺寸1000x687
【求助】动脉弹力纤维染色方法
图片尺寸4080x3072
如何实现涤纶高温高压染色?
图片尺寸640x355
法令纹的凹陷被胶原蛋白填平后,留下的褶皱,细纹就必须靠修复弹性纤维
图片尺寸1051x453
弹性涤纶纤维与部分产品
图片尺寸421x311
弹性面料染色应注意哪些问题中冉纺织倾情分享中冉
图片尺寸1366x700
又称马松染色,是显示组织中纤维的主要方法之一,是胶原纤维染色权威而
图片尺寸400x400
这就是病理世界里色彩的秘密~_染色_诊断_细胞
图片尺寸977x630