心包间皮瘤

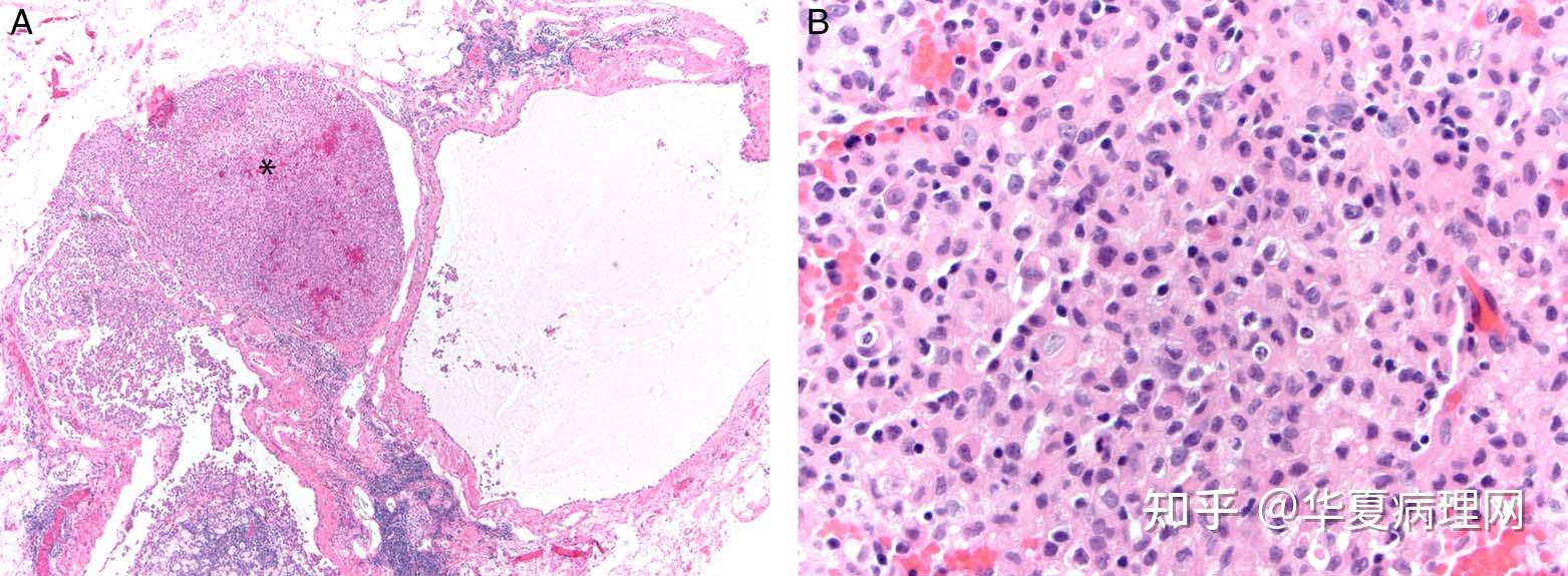
病理医师反间计之心包间皮瘤(一)
图片尺寸1563x799
病理医师反间计之心包间皮瘤(一)
图片尺寸1563x576
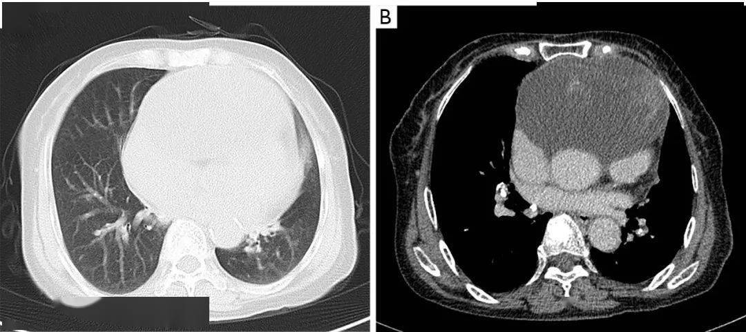
【读片】心脏肿瘤——心包间皮瘤,伴大量心包积液,难得一见!
图片尺寸636x422
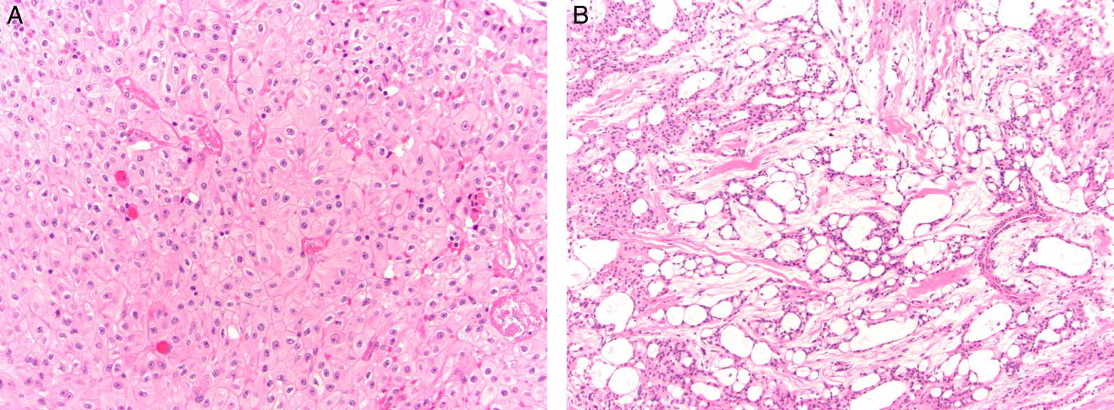
病理医师反间计之心包间皮瘤(二)
图片尺寸1563x575
犬猫细胞学:犬心包积液恶性间皮瘤
图片尺寸1206x902
【读片】心脏肿瘤——心包间皮瘤,伴大量心包积液,难得一见!
图片尺寸538x690
【读片】心脏肿瘤——心包间皮瘤,伴大量心包积液,难得一见!
图片尺寸636x422
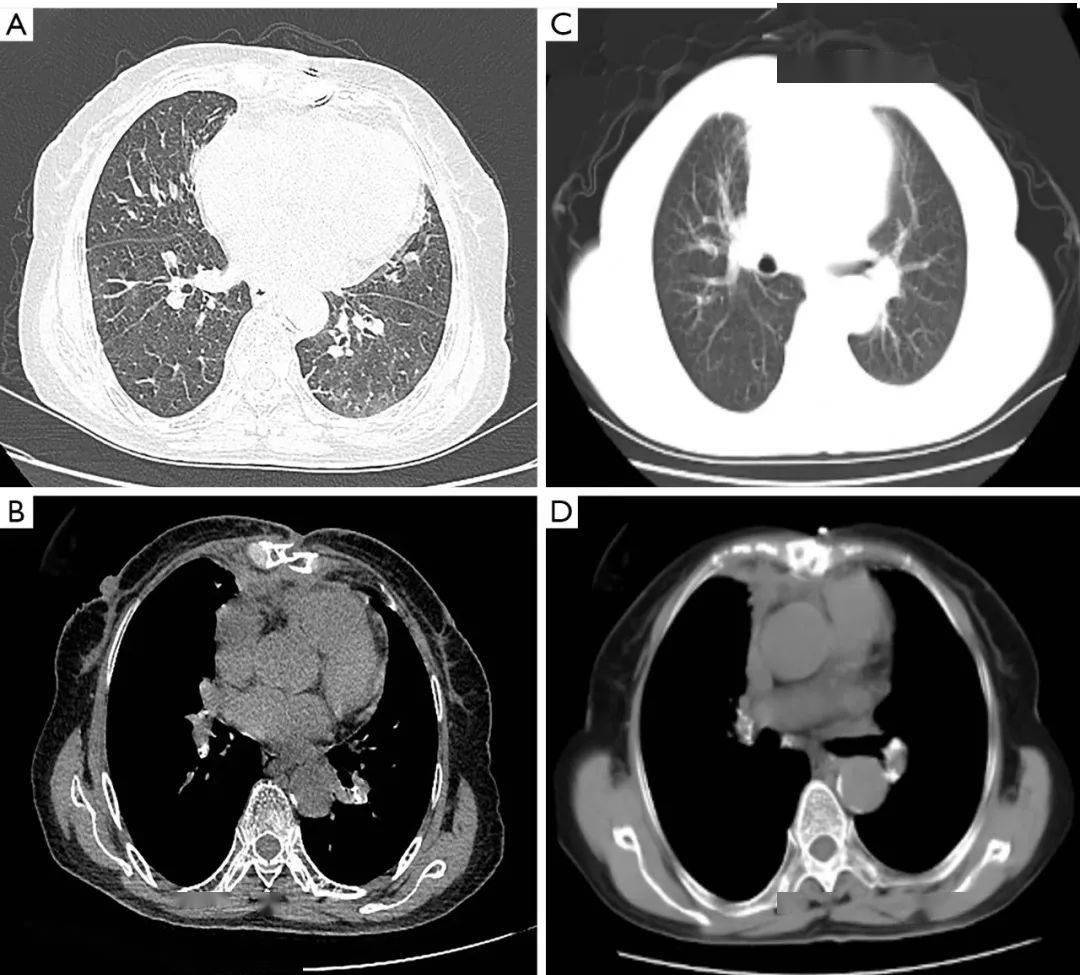
一例通过纵隔肿瘤切除诊断和治疗的心包间皮瘤病例|imdt 专栏_患者
图片尺寸1080x975
心包间皮瘤一例分析 — 南边
图片尺寸640x480
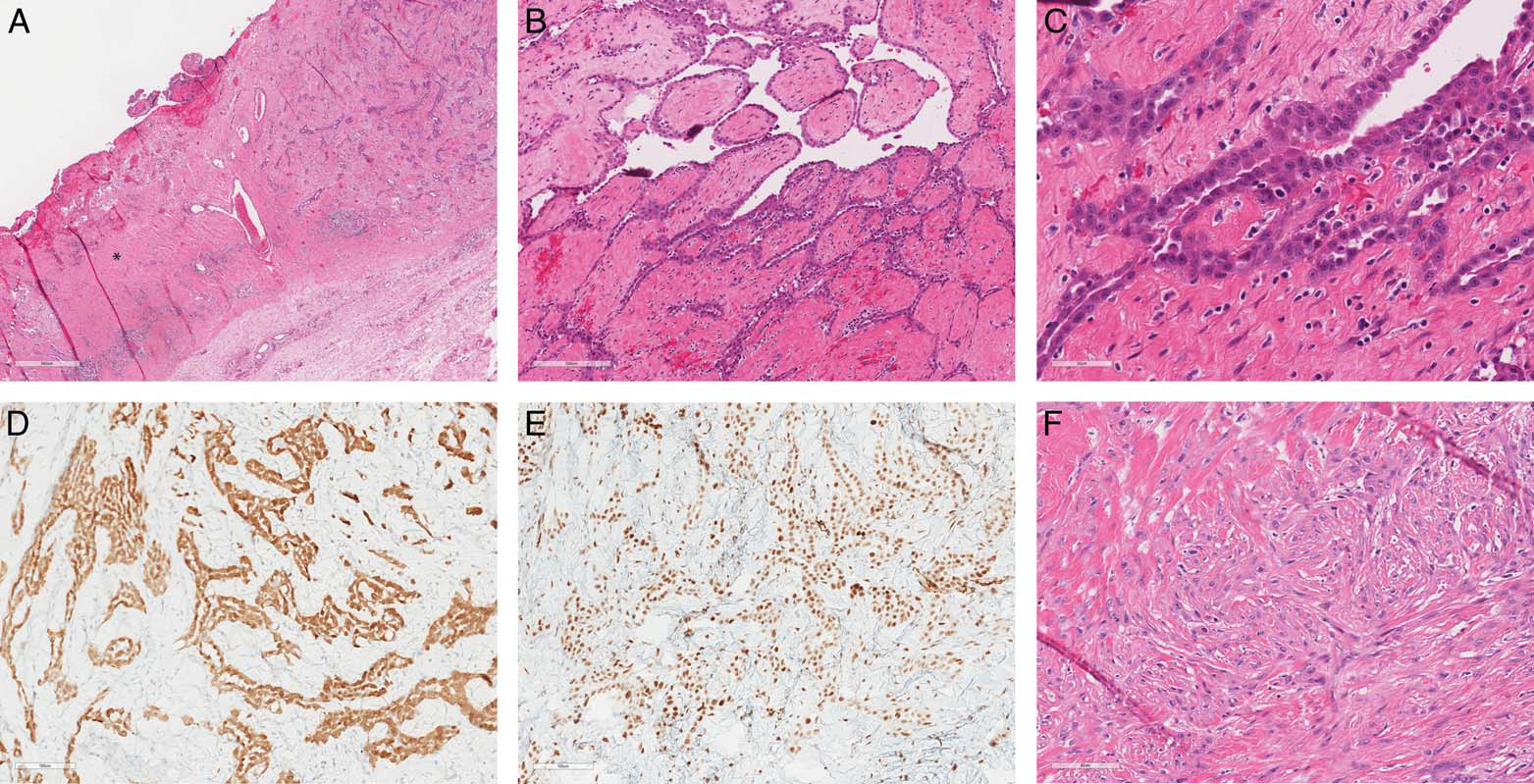
胸膜恶性间皮瘤
图片尺寸2000x2667
心包间皮瘤一例分析 — 南边
图片尺寸566x470
心包间皮瘤常见症状是气促,呼吸困难,胸闷,不具备遗传性
图片尺寸1012x759
心包间皮瘤一例分析 — 南边
图片尺寸640x480
一例通过纵隔肿瘤切除诊断和治疗的心包间皮瘤病例|imdt 专栏_患者
图片尺寸1080x481
胸膜间皮瘤抗病日记-确诊
图片尺寸1080x1920
女,90岁,恶性胸膜间皮瘤一例
图片尺寸676x681
胸膜恶性间皮瘤
图片尺寸2000x2667
胸膜恶性间皮瘤
图片尺寸2000x2667
恶性胸膜间皮瘤
图片尺寸322x236
刘懿博士说肺癌五五四四一闪一闪亮晶晶是恶性胸膜间皮瘤不是小星星
图片尺寸853x640