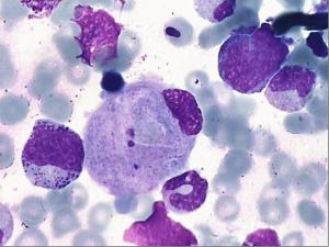
戈谢氏细胞

镜下检出的罕见病——中心实验室带你了解戈谢病_粒细胞
图片尺寸705x484
戈谢细胞的形态学特点 (zt自liuxuer战友)
图片尺寸582x384
镜下检出的罕见病——中心实验室带你了解戈谢病_粒细胞
图片尺寸712x484
1 临床表现gd可累及全身骨骼,轻重程度不一,其病理改变为戈谢细胞在
图片尺寸2008x475
全部 根据肝大,脾大或有中枢神经系统症状骨髓检查见有典型戈谢细胞
图片尺寸760x570
1例戈谢病患儿骨髓细胞形态学图
图片尺寸554x836
戈谢细胞
图片尺寸300x225
镜下检出的罕见病——中心实验室带你了解戈谢病_粒细胞
图片尺寸584x424
戈谢病
图片尺寸220x165
matreya葡萄糖脑苷标准品助力戈谢病研究
图片尺寸600x449
惊喜明美显微镜相机拍下少见的类戈谢细胞
图片尺寸460x345
图4 镜下染色尼曼-匹克细胞形态图5 基因检测结果▎ 诊断:成人起病
图片尺寸509x543
【协和华美血细胞课堂·2】戈谢细胞的辨识
图片尺寸800x2806
戈谢病
图片尺寸220x165
骨髓中可出现与戈谢细胞和海蓝细胞相似的吞嘛细胞,骨髓活检可见轻度
图片尺寸1738x1198
细胞形态检查与戈谢病
图片尺寸1080x608
戈谢细胞
图片尺寸334x280
红细胞|骨髓|浆细胞|瑞氏_网易订阅
图片尺寸660x371
学检验的朋友问问这个细胞
图片尺寸1080x1439
除了国庆中秋今天还是
图片尺寸640x606