成人多生牙

成人上下颌双侧前磨牙区7颗多生牙病例分析
图片尺寸271x574
门牙多生牙做正雅隐形矫正没想到在深圳正恩口腔12个月就矫正成功了
图片尺寸600x487
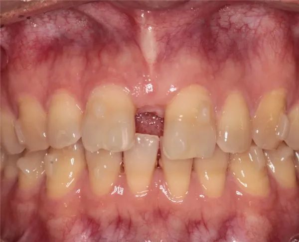
多生牙(上颚两中门牙间)supernumenary tooth (mesiodens)
图片尺寸500x333![上前牙多生牙修复,各位指点一二 [病例帖]](https://i.ecywang.com/upload/1/img2.baidu.com/it/u=3101229555,213669817&fm=253&fmt=auto&app=138&f=JPEG?w=500&h=333)
上前牙多生牙修复,各位指点一二 [病例帖]
图片尺寸5184x3456![上前牙多生牙修复,各位指点一二 [病例帖]](https://i.ecywang.com/upload/1/img1.baidu.com/it/u=2661870851,1503680810&fm=253&fmt=auto&app=138&f=JPEG?w=500&h=333)
上前牙多生牙修复,各位指点一二 [病例帖]
图片尺寸5184x3456![上前牙多生牙修复,各位指点一二 [病例帖]](https://i.ecywang.com/upload/1/img0.baidu.com/it/u=2277412749,1220655748&fm=253&fmt=auto&app=138&f=JPEG?w=499&h=333)
上前牙多生牙修复,各位指点一二 [病例帖]
图片尺寸5185x3457![上前牙多生牙修复,各位指点一二 [病例帖]](https://i.ecywang.com/upload/1/img1.baidu.com/it/u=2794124475,1806992298&fm=253&fmt=auto&app=138&f=JPEG?w=750&h=500)
上前牙多生牙修复,各位指点一二 [病例帖]
图片尺寸5184x3456
多生牙是什么?它有什么危害?趁着放暑长假,不如来正牙吧!
图片尺寸1080x449
门牙多生牙做正雅隐形矫正没想到在深圳正恩口腔12个月就矫正成功了
图片尺寸600x468
多生牙长出的位置不好应该要拔除吗
图片尺寸684x423![上前牙多生牙修复,各位指点一二 [病例帖]](https://i.ecywang.com/upload/1/img2.baidu.com/it/u=1817096731,491675099&fm=253&fmt=auto&app=138&f=JPEG?w=500&h=333)
上前牙多生牙修复,各位指点一二 [病例帖]
图片尺寸5184x3456
术前口内情况,一颗多生牙长于腭侧骨内可见
图片尺寸1800x1200
什么是多生牙?太可恶了(口腔科普第三十二期)
图片尺寸339x166
多生牙拔除
图片尺寸380x241
右下颌45间多生牙
图片尺寸5184x3456
右下颌45间多生牙
图片尺寸5184x3456
碰到喜欢玩"潜伏"的多生牙,该怎么办?
图片尺寸640x431
什么是多生牙多生牙必须要拔除吗
图片尺寸3648x2432
少见的下颌7区多生牙
图片尺寸2304x1296
成人双侧上颌后牙区对称性多生牙1例
图片尺寸490x272