截肢残端

大姐突遭车祸截肢后伤口难愈医生治疗确实有些困难
图片尺寸660x500
一般情况下手指外伤残端谨慎短缩修整,尽量保留现有的指骨,甲床和关节
图片尺寸1280x1706
因为同样的症状7年前左腿截肢现在右腿还能保住吗
图片尺寸716x660
需要在全身麻醉下进行右上肢清创,血管神经肌腱探查,残端修整手术.
图片尺寸800x2106
临床上要根据残指的长度,残端情况,以及患者的年龄
图片尺寸856x583
韩国接种新冠疫苗的30岁女子不得不截肢到底是不是疫苗引起的
图片尺寸636x1038
手指再造了解一下!_进行_功能_患者
图片尺寸1000x333
没有带上,急忙联系工友到事发地寻找,却怎么都没有找到掉落的拇指残端
图片尺寸1702x1276
男孩大腿中有肿瘤截肢后为正常生活旋转180度脚后跟成新膝盖
图片尺寸640x853
利斧无情广华有爱
图片尺寸640x480
图1因车祸左小腿部分截肢图2 所触及皮下结节为腓肠神经残端神经瘤
图片尺寸800x600
因外伤损伤右手示,中,环指,在当地医院行"右手示,中,环指残端修复术"
图片尺寸500x500
上肢截肢知识
图片尺寸1335x758
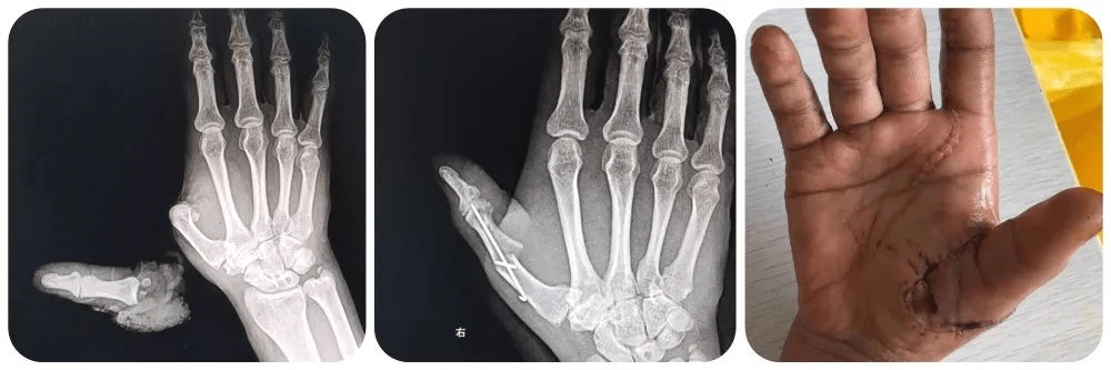
为患者进行了检查,患者大拇指已经完全离断,而且残端又被切成了两份
图片尺寸600x800
澳洲小哥不惜一切代价只为让自己变残疾截肢后的生活更舒服
图片尺寸674x424
大姐突遭车祸,截肢后伤口难愈,医生:治疗确实有些困难!
图片尺寸1080x720
澳洲小哥不惜一切代价只为让自己变残疾截肢后的生活更舒服
图片尺寸669x432
将一例因严重高压电烧伤残存的左手交叉移植到已完全烧毁的右上肢残端
图片尺寸438x331
大姐突遭车祸截肢后伤口难愈医生治疗确实有些困难
图片尺寸660x440
人,于10个月前因外伤损伤左手中指,在当地医院行"左手中指残端修整术"
图片尺寸500x500