扁平足骨头

儿童扁平足
图片尺寸400x336
三分钟带你了解扁平足的危害
图片尺寸650x386
有关扁平足/平足症的9个小知识_扁平足_介绍_发病原因_检查_治疗方式
图片尺寸868x1115
少年儿童扁平足的微创治疗
图片尺寸3264x2448
足骨 扁平足
图片尺寸750x1004
详解小儿扁平足
图片尺寸800x617
扁平足_病因_症状_发病原因_症状表现 - 好大夫在线
图片尺寸2353x2318
什么是儿童扁平足
图片尺寸1626x1440
少年儿童扁平足的微创治疗_扁平足_症状表现_治疗方式 - 好大夫在线
图片尺寸3968x2976
别再走弯路了最全功能性扁平足治疗方案分享
图片尺寸1080x608
的骨头组合起来是弯的↓↓↓如下图我们首先来看一下什么是扁平足
图片尺寸1080x1920
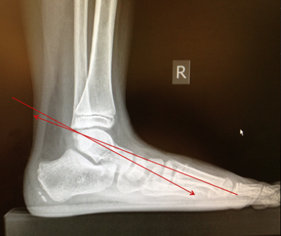
一文读懂扁平足x线测量方法!-中国健康
图片尺寸640x336
成人获得性扁平足ppt
图片尺寸1080x810
扁平足的康复治疗
图片尺寸852x352
平足症-pbppt
图片尺寸1080x810
足骨 扁平足
图片尺寸738x1026
别再走弯路了!最全功能性扁平足治疗方案分享
图片尺寸913x608
扁平足治不治?怎么治?
图片尺寸469x820
儿童扁平足
图片尺寸400x330
儿童扁平足,足弓发育的3个关键年龄 - 知乎
图片尺寸1030x578