抛光洁牙

牙齿抛光洗牙的必经过程之一
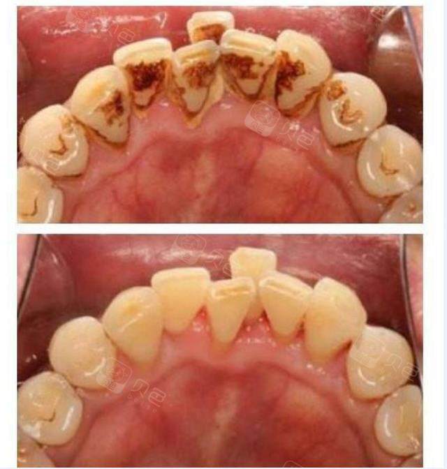
图片尺寸3696x2448
洗牙后为什么要抛光和上药?
图片尺寸1000x668
爱牙小科普洗牙有必要抛光吗抛光和不抛光区别真的挺大
图片尺寸400x300
299元抢华艺口腔超声波洁牙1次含口腔内窥镜检查牙菌斑检测全齿抛光
图片尺寸660x436
树脂贴面卸除或者超声波喷砂洁牙后的基牙含氟抛光步骤不能忽略
图片尺寸384x384
洁牙后的牙齿表面其实并不光滑,需要用专用抛光机头(橡皮轮或杯状刷)
图片尺寸755x459
无痛无损亮白牙齿的喷砂洗牙
图片尺寸562x1560
牙科口腔材料抛光洁牙抛光杯清洁牙齿抛光杯弯机抛光小毛刷100个
图片尺寸2948x2948
【啄木鸟牙科】洁牙 抛光,男女不限,提供免费wifi
图片尺寸640x388
深圳洗牙科普超声波洗牙好不好洗牙抛光多少钱
图片尺寸1080x856
重度四环素牙美白丨美加超薄美牙贴面改变颜色病例
图片尺寸660x440
舒适超声波洁牙抛光套餐
图片尺寸864x1920
解答洗牙抛光和不抛光区别大吗以及超声波洁牙抛光会不会损害牙釉质
图片尺寸600x446
南宁洗牙还要做抛光的真相在这儿
图片尺寸350x306
仅售98元,价值420元360度巡航洁牙(超声洗牙 喷砂 抛光),节假日通用!
图片尺寸830x366
洗牙后抛光不抛光有啥区别吗
图片尺寸563x365
【洗牙超声波洁牙】单人超声波洁牙 抛光,上药套餐(轻度) - 贵阳美艺
图片尺寸640x672
口腔全面检查 超声洁牙 无痕护釉抛光._牙齿
图片尺寸1080x720
进口气动超声舒适精度洁牙进口矽离子抛光烟斑茶渍护理
图片尺寸960x720
洁牙也分级?
图片尺寸570x379