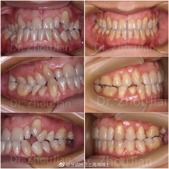
掩饰性正畸

一例成人三类掩饰性矫治的小tip_弓丝
图片尺寸690x1035
26岁,地包天掩饰性正畸八个月效果
图片尺寸570x726
成人骨性反颌掩饰性正畸治疗
图片尺寸850x422
正畸是可以改变我们的脸型的,包括像说下巴内缩之类的?
图片尺寸570x331
地包天掩饰性正畸下牙套
图片尺寸1440x1047
骨性三类反颌掩饰性正畸案例效果图隐形和钢牙套哪个好
图片尺寸377x507
牙齿地包天做过拔牙掩饰性正畸还可以做正颌手术吗?
图片尺寸468x351
反颌掩饰性正畸的结果展示
图片尺寸659x463
掩饰性正畸和正颌手术前的代偿性正畸区别很大别搞错了
图片尺寸600x296
我这边不拔牙设计,掩饰治疗一年半完成,效果说明一切.
图片尺寸690x689
下巴后缩凸嘴做掩饰性正畸有用吗原理是什么
图片尺寸600x501
骨性二类,掩饰性正畸10个月对比图.
图片尺寸570x570
成人骨性反颌掩饰性正畸治疗
图片尺寸665x950
隐形正畸中常见的几个问题
图片尺寸500x329
成人骨性反颌掩饰性正畸治疗
图片尺寸950x712
隐形牙齿矫正
图片尺寸500x375
骨性反颌掩饰性正畸一年记
图片尺寸570x713
掩饰性正畸和正颌手术前的代偿性正畸区别很大别搞错了
图片尺寸600x302
武广增系统化正畸学习课程
图片尺寸640x1033
骨性三类反颌掩饰性正畸案例效果图隐形和钢牙套哪个好
图片尺寸492x312