支架象鼻手术

a型主动脉夹层全弓置换 "象鼻"支架置入手术
图片尺寸750x1124
心术livesalon第二期全弓置换支架象鼻手术线上沙龙圆满落幕
图片尺寸884x751
david术,全弓置换,主动脉弓半弓置换,象鼻支架植入术等stanforda型
图片尺寸500x375
david 全弓 支架象鼻
图片尺寸690x920
us分支型术中支架系统"首次亮相河南主动脉外科战场_患者_治疗_手术
图片尺寸640x368
主动脉夹层,全弓置换 支架象鼻术 - 好大夫在线
图片尺寸450x800
david 全弓 支架象鼻
图片尺寸690x518
jtcvs丨应用逆向象鼻技术分阶段治疗广泛胸主动脉瘤-23年经验_手术
图片尺寸1080x519
annthoracsurg安贞医院刘迎龙等发现支架象鼻技术替代治疗逆行性a型主
图片尺寸640x480
升主动脉 全弓置换 支架象鼻术.
图片尺寸600x394
夜间急诊手术,行主动脉根部替换 主动脉全弓替换 远端象鼻支架术.
图片尺寸2000x2667
和输送装置创立了全主动脉弓替换及降主动脉支架象鼻人工血管置入术
图片尺寸603x202
主动脉夹层:保留头臂干的全弓置换联合支架象鼻术
图片尺寸640x288
bentalls联合全弓置换及血管内支架象鼻手术
图片尺寸551x429
david全弓支架象鼻
图片尺寸690x920
bentall 主动脉弓置换 象鼻支架术后护理
图片尺寸1080x810
betall术 全弓置换术 象鼻支架植入术
图片尺寸1620x2160
主动脉弓血管置换 象鼻手术
图片尺寸640x480
黄某一年前曾经因为主动脉弓部动脉瘤接受了全弓置换 支架象鼻手术(孙
图片尺寸1269x469
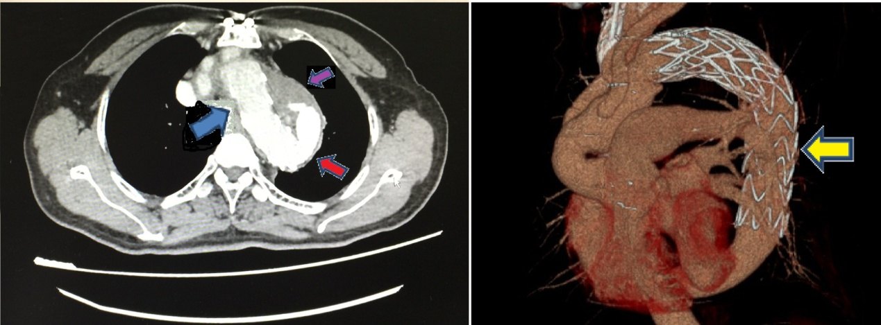
团体又成功为一患者实施了升主动脉,主动脉全弓置换和支架象鼻手术
图片尺寸1080x1440