支气管扩张ct

15种支气管扩张病因的影像学表现│以影识病
图片尺寸600x471
15种支气管扩张病因的影像学表现│以影识病
图片尺寸1080x1031
一分钟教你看ct:你是哪种类型的支气管扩张?
图片尺寸802x510
支气管扩张丨ct表现诊断要点
图片尺寸640x218
气管扩张症状出现了什么问题(了解气管扩张症状的常见表现)
图片尺寸1599x999
15种支气管扩张病因的影像学表现│以影识病
图片尺寸1080x440
请问这个ct算支扩吗?
图片尺寸4032x3024
15种支气管扩张病因的影像学表现│以影识病
图片尺寸1067x571
印戒征是支气管扩张ct的主要表现,是指扩张的充气支气管横截面与代表
图片尺寸1080x501
冠状面:支气管扩张(箭头)伴感染(圆圈)结果胸部ct做下来,显示小伙子的
图片尺寸818x632
支气管扩张丨ct表现诊断要点
图片尺寸640x328
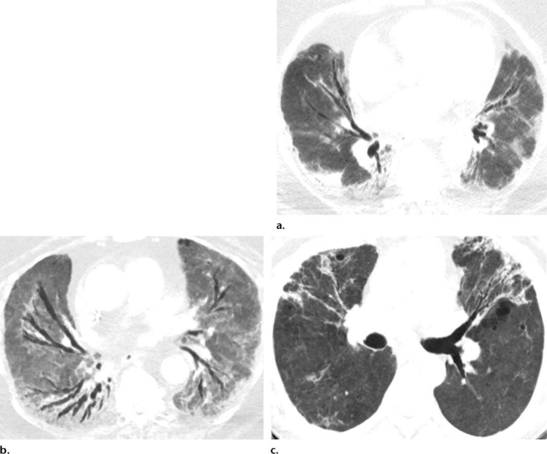
ct表现:支气管壁增厚和气道扩张4,其他表现:长期患病或反复继发感染可
图片尺寸700x588
15种支气管扩张病因的影像学表现│以影识病
图片尺寸1080x794
经典图谱,详细解说支气管扩张ct小诀窍_腾讯新闻
图片尺寸640x496
男性59岁,咳嗽,咳痰10余年,加重7天,胸部ct报告支扩并肺炎,考虑什么病
图片尺寸798x554
男性59岁,咳嗽,咳痰10余年,加重7天,胸部ct报告支扩并肺炎,考虑什么病
图片尺寸797x627
患者反复咳嗽,多次就诊考虑支气管扩张伴感染,仔细看胸部ct就能发现蛛
图片尺寸512x512
男性65岁,这个支气管扩张有什么异常吗?
图片尺寸700x541
几池碧水串珠去一岭苍山只影来支气管扩张扩张伴感染
图片尺寸4624x3468
(a)就诊数天后横断面ct显示轻度柱状支气管扩张.
图片尺寸1080x897