斜方肌结节

姐妹们,这两坨肉就是斜方肌吗?(硬的)怎么减啊?
图片尺寸1080x1080
肩颈痛(斜方肌损伤)较全的诊疗思路
图片尺寸640x445
周六野斜方肌一个月后我才发现变成了这样
图片尺寸1080x530
分享一典型斜方肌损伤病例
图片尺寸694x547
小红薯的集美们 可以帮我看看 我这突出的硬邦邦的是啥呀 #斜方肌
图片尺寸1080x810
分享一典型斜方肌损伤病例
图片尺寸889x571
知识角 |肩胛骨的肌肉与运动|关节|方向|斜方肌_网易订阅
图片尺寸541x494
肌肉分析 丨 背部肌肉:斜方肌
图片尺寸709x639
肩部训练如何削弱【上斜方肌】发力
图片尺寸750x751
止点:肱骨小结节.起点:肩胛下窝.
图片尺寸490x534
斜方肌 2.棘上韧带 3.背阔肌 4.胸腰筋膜 5.骶结节韧带
图片尺寸392x596
斜方肌解剖结构功能
图片尺寸640x373
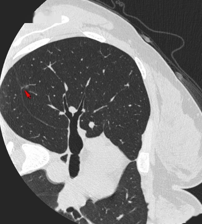
这样的结节可以考虑手术,多种恶性征象集于一身,大家可对照一下
图片尺寸647x718
后面观" 9肩胛冈:斜方肌,三角肌中束,三角肌后束冈上窝:冈上肌冈下窝
图片尺寸1080x1080
斜方肌
图片尺寸600x1067
斜方肌的功能解剖
图片尺寸557x607
肩膀后面的斜方肌的起点和止点分别在哪里斜方肌有什么作用
图片尺寸916x677
指(趾)垫处红紫色痛性结节 osler结节 janeway损害 手掌,足底无痛性
图片尺寸1080x810
斜方肌肌筋膜综合症_疼痛_介绍_缓解方法 - 好大夫在线
图片尺寸360x490
肩部训练如何削弱【上斜方肌】发力
图片尺寸750x751