斜行骨折

急!5岁男孩右桡骨下端斜行骨折 你好,娃娃5岁,男,2014.
图片尺寸3328x1872
女60 小腿胫骨斜错位 如图 这个不做手术行么 心脏不好 供血不足 希望
图片尺寸620x1033
掌骨斜形骨折尼斯结固定一例
图片尺寸1171x878
左手第四掌骨斜形错位骨折长好了
图片尺寸1080x1920
右胫骨骨折线是斜行的,对位尚可,内侧胫骨平台骨皮质欠光整,可见不
图片尺寸1280x2279![长斜形股骨下段骨折,你喜欢什么固定? [病例帖]](https://i.ecywang.com/upload/1/img1.baidu.com/it/u=436386994,1284952297&fm=253&fmt=auto&app=138&f=JPEG?w=360&h=500)
长斜形股骨下段骨折,你喜欢什么固定? [病例帖]
图片尺寸552x767
骨折治疗的艺术
图片尺寸896x1195
骨折一个月了今天去拆了石膏
图片尺寸1080x1440
右胫骨骨折线是斜行的,对位尚可,内侧胫骨平台骨皮质欠光整,可见不
图片尺寸1280x2279
急!5岁男孩右桡骨下端斜行骨折 你好,娃娃5岁,男,2014.
图片尺寸3328x1872
一例车祸致颈髓损伤截瘫,后壁骨折及肱骨远端骨折
图片尺寸2000x2667
2020年3月8日,不慎摔了一跤,造成右腓骨下段斜行骨折,没有错位,石膏
图片尺寸2000x2667
双踝骨折
图片尺寸680x510
足部骨折x线照片,斜位图.
图片尺寸975x1200
临床申请单摄足正斜位片
图片尺寸1500x1125![右侧股骨中下段斜行骨折钢板内固定术后两年余,骨折延迟愈合 [病例帖]](https://i.ecywang.com/upload/1/img1.baidu.com/it/u=1587776815,4025215716&fm=253&fmt=auto&app=138&f=JPEG?w=500&h=333)
右侧股骨中下段斜行骨折钢板内固定术后两年余,骨折延迟愈合 [病例帖]
图片尺寸639x426
所示右侧腓骨远端见斜行骨折线,骨折端对位对线尚可.右腓骨远端骨折.
图片尺寸262x463
左锁骨外三分之一斜形骨折.当时绑8字带后完全对上.
图片尺寸2592x1944
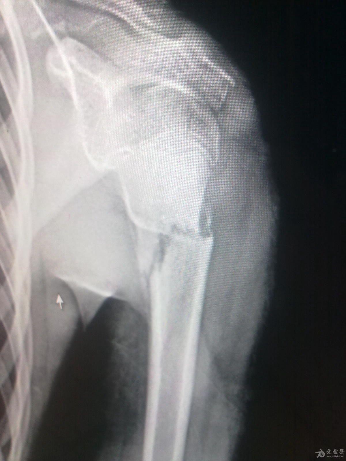
肱骨近端骨折斜位成角角度预后会不会塑形成功
图片尺寸1200x1600
肱骨长斜形粉碎性骨折
图片尺寸4000x3000