枢椎齿突骨折

枢椎齿状突骨折一例分享
图片尺寸1006x1352
病例分享:枢椎齿状突ii型骨折
图片尺寸634x883
枢椎齿状突骨折
图片尺寸915x615
患者王有文病例资料(枢椎齿状突骨折)
图片尺寸2000x2667
枢椎齿状突骨折一例分享
图片尺寸1090x1372
枢椎齿状突骨折一例分享
图片尺寸966x1336
患者王有文病例资料(枢椎齿状突骨折)
图片尺寸2000x2667
枢椎齿状突骨折一例分享
图片尺寸1045x1345
病例分享枢椎齿状突ii型骨折
图片尺寸600x835
陈旧齿状突骨折伴寰枢椎脱位
图片尺寸4029x3021
枢椎齿状突骨折枢椎前滑脱
图片尺寸600x338
患者王有文病例资料(枢椎齿状突骨折)
图片尺寸2000x2667
病例讨论会c2枢椎齿状突骨折并颈髓挫伤2019第四期
图片尺寸832x963
患者王有文病例资料(枢椎齿状突骨折)
图片尺寸2000x2667
枢椎齿状突骨折容易和韧带断裂混肴,x线检查是目前主要诊断依据
图片尺寸1920x1080
患者王有文病例资料(枢椎齿状突骨折)
图片尺寸2000x2667
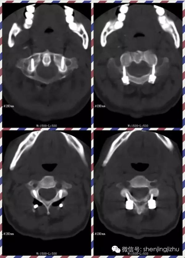
颈椎前路螺钉内固定治疗c2齿状突骨折(Ⅱ型)
图片尺寸4032x3024
患者王有文病例资料(枢椎齿状突骨折)
图片尺寸2000x2667
枢椎齿突骨折手术治疗
图片尺寸3968x2976
枢椎齿状突骨折
图片尺寸340x340