椎管内肿瘤

术前腰椎mri提示腰椎椎管内肿瘤
图片尺寸535x555
神经外科显微镜下椎管内肿瘤切除术的手术配合
图片尺寸1080x810
警惕不一样的腰腿痛椎管内常见肿瘤_椎管内肿瘤_介绍_症状表现 - 好
图片尺寸708x979
椎管内肿瘤可以预防吗?
图片尺寸480x360
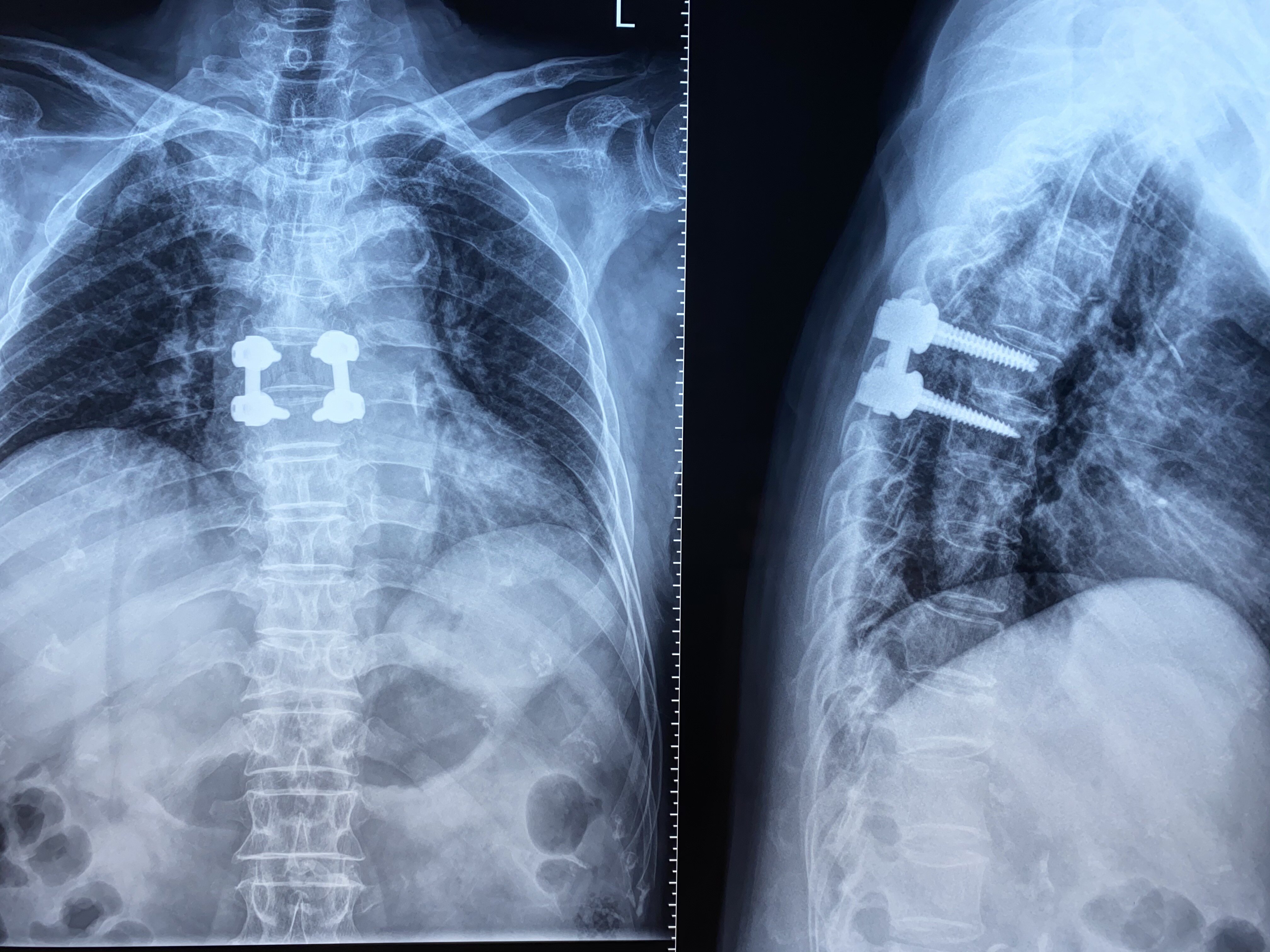
胸椎管内肿瘤完整摘除 - 好大夫在线
图片尺寸3024x4032
疫情下的救治系列:胸椎管内肿瘤
图片尺寸1587x1956
颈椎椎管内肿瘤切除术_椎管内肿瘤_椎管内肿瘤治疗方式 - 好大夫在线
图片尺寸2976x3968
关于椎管内肿瘤,你需要了解的(二) - 好大夫在线
图片尺寸942x742
椎管内肿瘤手术病例分享(万荣县人民医院神经外科)
图片尺寸1034x1318
【经典】椎管内常见肿瘤mr诊断
图片尺寸1080x810
髓外的良性肿瘤磁共振平扫:椎管内肿瘤压迫脊髓严重术中完整取出瘤体
图片尺寸3024x4032
警惕不一样的腰腿痛椎管内常见肿瘤_椎管内肿瘤_介绍_症状表现 - 好
图片尺寸760x1051
椎管内硬膜下肿瘤影像特点及手术策略解析
图片尺寸602x481
警惕不一样的腰腿痛椎管内常见肿瘤_椎管内肿瘤_介绍_症状表现 - 好
图片尺寸1280x1705
警惕不一样的腰腿痛椎管内常见肿瘤_椎管内肿瘤_介绍_症状表现 - 好
图片尺寸1261x938
胸椎管内肿瘤完整摘除 - 好大夫在线
图片尺寸4032x3024
六大椎管内硬膜下肿瘤影像特点及手术策略解析
图片尺寸587x787
椎管内肿瘤手术切开椎管,脊柱还能支撑住身体吗?
图片尺寸458x353
长期腰腿痛麻木当心椎管内肿瘤
图片尺寸546x714
2021年首周椎管内肿瘤手术合集
图片尺寸2734x3401