横窦解剖图ct图

提示急性血栓△增强ct:右侧横窦位置造影剂充盈缺损(橙箭)病例i:横窦
图片尺寸709x709
增强ct:右侧横窦位置造影剂充盈缺损(橙箭)病例i:横窦闭塞-血索
图片尺寸709x709
(图k) 横窦,乙状窦由于低流速,双向血流的缘故,有些时候t2wi,flair上
图片尺寸800x400
易误为出血的 横窦
图片尺寸1080x810
被困扰5年的耳鸣终于被治愈了
图片尺寸1085x793
分类 农林牧渔 林学 脑转移瘤影像表现 - 副本ppt 脑转移瘤常见的ct
图片尺寸1080x810
头部断层解剖学-人体断层解剖学-课件-04ppt
图片尺寸1080x810
横窦狭窄血栓和发育不良从现象到本质
图片尺寸709x709
(图) 硬脑膜窦体表投影-人体解剖组织学-医学
图片尺寸1576x1224
图2 ct平扫显示双侧横窦区域的异常高密度影(箭头所示),提示双侧横窦
图片尺寸412x440
横窦狭窄血栓和发育不良从现象到本质
图片尺寸709x709
横窦狭窄血栓和发育不良从现象到本质
图片尺寸883x886
横窦狭窄血栓和发育不良从现象到本质
图片尺寸1080x697
治疗 辅助检查 2013-07-08急头颅ct显示:上矢状窦,窦汇, 左侧横窦高
图片尺寸1080x810
详细标注版——颅脑ct正常解剖图谱_中央_小脑_纤维
图片尺寸1080x627
三维影像下的后颅凹跨横窦硬膜外血肿复合腰椎手术治疗
图片尺寸619x308
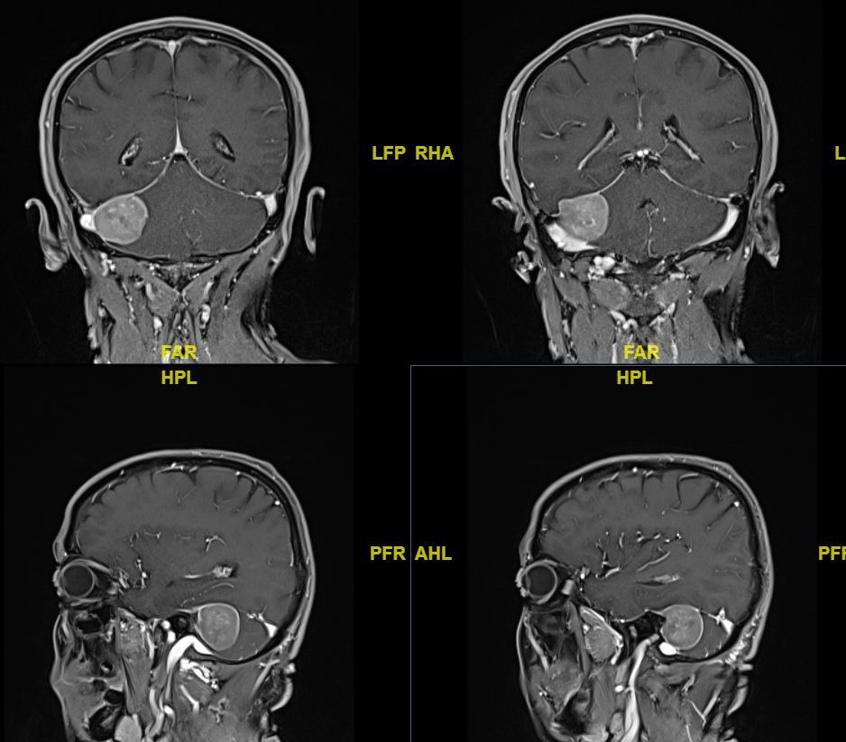
横窦乙状窦交界区天幕脑膜瘤手术病例 - 微医(挂号网)
图片尺寸938x823
郝斌
图片尺寸1062x867
易误为出血的 横窦
图片尺寸1080x810
详细标注版——颅脑ct正常解剖图谱_中央_小脑_纤维
图片尺寸1080x622