横窦ct图片

增强ct:右侧横窦位置造影剂充盈缺损(橙箭)病例i:横窦闭塞-血索
图片尺寸709x709
提示急性血栓△增强ct:右侧横窦位置造影剂充盈缺损(橙箭)病例i:横窦
图片尺寸709x709
图2 ct平扫显示双侧横窦区域的异常高密度影(箭头所示),提示双侧横窦
图片尺寸412x440
提示蛛网膜颗粒病例c:上矢状窦和直窦蛛网膜颗粒△ctv和dsa:右侧横窦
图片尺寸711x710
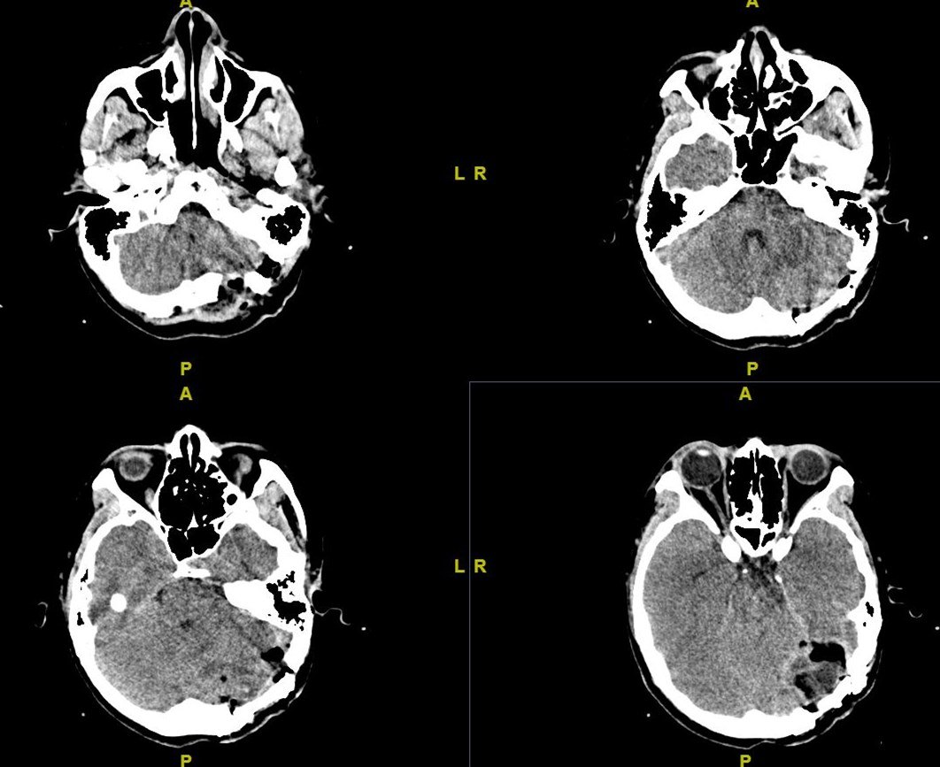
监测有道丨一例跨横窦巨大硬膜外血肿伴小脑血肿的救治体会颅脑创伤
图片尺寸906x604
易误为出血的 横窦
图片尺寸1080x810
头颅ct可见上矢状窦及右侧横窦高密度征
图片尺寸2000x2490
神经影像大脑静脉栓塞的影像学征象
图片尺寸900x935
横窦天幕脑膜瘤手术一例 - 微医(挂号网)
图片尺寸1260x578
骑跨横窦硬膜外血肿
图片尺寸2667x1901
(图k) 横窦,乙状窦由于低流速,双向血流的缘故,有些时候t2wi,flair上
图片尺寸800x400
硬脑膜动静脉瘘(右侧横窦区)的血管内治疗术
图片尺寸4032x3024
易误为出血的 横窦
图片尺寸1080x810
其它 佳木斯市中心医院神经外科完成一例横窦旁脑膜瘤
图片尺寸2000x2666
24岁小伙经常性不喝水患矢状窦静脉血栓险丧命
图片尺寸1080x566
术后ct情况本文是曹依群版权所有,未经授权请勿转载.
图片尺寸712x543
后床突 脑桥基底部 第四脑室 小脑蚓 小脑半球 颞肌 鞍上池 桥池 横窦
图片尺寸1080x810
ct拍出来提示胡先生右侧横窦密度较高立即建议胡先生拍一个头颅ct门诊
图片尺寸543x465
venography,mrv):上矢状窦,横窦及窦汇混合异常信号(图1c~d);上矢状
图片尺寸574x288
郝斌
图片尺寸1062x867