正常双肾ct图片

肾ct解剖
图片尺寸720x756
ct 秒杀:肾脏病变快速鉴别
图片尺寸584x428
双肾ct扫描范围,研究过后感觉这样更准确好记点!
图片尺寸1080x1145
杨先生术前ct局部检查图男子一天仅喝一瓶水,体检意外发现双肾结石"我
图片尺寸700x525
检查部位:下腹部ct平扫 双肾及肾上腺大小,形态正常,肾实质
图片尺寸1080x1920
查肾功能一看,坏了,肾功能衰竭了
图片尺寸5792x4344
值班日记:女子腹痛严重,腹部ct显示右肾已经明显萎缩,原因应该是肾
图片尺寸690x518
🐎中国马蹄肾患者有多少?
图片尺寸1284x800
老公这小小的肾结石,真是要命,手术前两大块石头,手术后还要放
图片尺寸1242x2688
肾破裂,血肿,周围间隙积血,皮下积气ct影像表现
图片尺寸1080x791
又住院做了增强ct,考虑肾癌
图片尺寸880x466
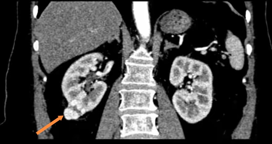
图片发自160app图片发自160appct检查提示左肾中下极肿物
图片尺寸1259x1210
ct检查示双肾多发结石(右肾结石较大),右侧输尿管中段结石,左侧输尿管
图片尺寸1080x1440
泌尿外科陈海涛 的想法: 肾结石检查,做b超和ct检查,有什么区别
图片尺寸1169x1376
在ct图像上,肾结石通常表现为肾脏集合系统内的高密度亮点,ct值和骨头
图片尺寸990x1571
肾上腺ct:透视健康的"秘密武器" 肾上腺ct,是一种先进的医学影像检查
图片尺寸720x963
ct 检查显示,郑女士的的体内竟然有"三个肾",医学称之为重复肾
图片尺寸700x395
72岁阿姨,右腰部胀痛伴有发热入院,腹部ct见右肾有重度积水
图片尺寸1080x1440
肾部 ct 能检查出什么疾病?
图片尺寸604x614
肾脏ct平扫加增强
图片尺寸512x512