正常腕骨图

正常腕关节
图片尺寸1242x1863
腕骨位置及其组成示意图
图片尺寸1500x1000
手腕关节的x线. 正常的. 否定.
图片尺寸700x559
骨科
图片尺寸436x347
腕关节不稳定是指早期或迟发的因腕骨正常序列消失引起的腕部损伤
图片尺寸1052x1124
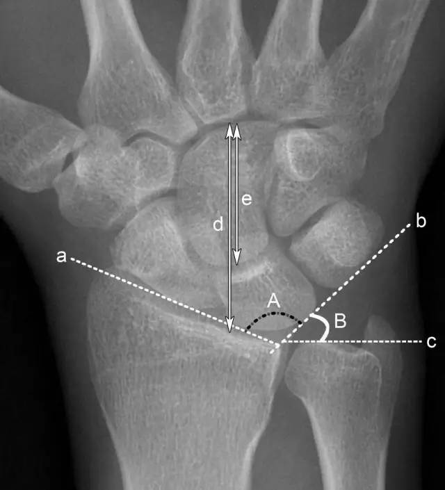
头状骨长度 a.腕骨角 b.
图片尺寸640x705
图片
图片尺寸1080x661
手腕极其灵活,它们始于两块前臂骨——桡骨和尺骨,然后与八块腕骨中的
图片尺寸678x747
cello_teddy
图片尺寸640x761
如何在支撑动作中保护手腕
图片尺寸1080x607
我们认识了腕骨的组成,接下来我们就可以一起来认识大家最关心的腕
图片尺寸1080x650
腕关节-x线解剖ppt
图片尺寸1080x810
腕骨解剖ppt课件ppt
图片尺寸800x600
又称腕舟状骨,古称 a>高骨 /a>,龙骨,属于 a>腕骨 /a>(carpalbones)
图片尺寸310x327
腕关节侧位(x线片)
图片尺寸512x380
关节|腕骨|腕关节_网易订阅
图片尺寸660x398
解剖| 上肢(肘和前臂,腕和手)|腕骨|关节|腕关节|肘部_网易订阅
图片尺寸650x803
近排腕骨有4块:舟骨,月骨,三角骨和豌豆骨,和前臂的尺骨和桡骨连接.
图片尺寸639x775
腕关节平扫
图片尺寸299x300
哪些医院可以测骨龄,测骨龄去什么医院好
图片尺寸477x510