正畸自锁

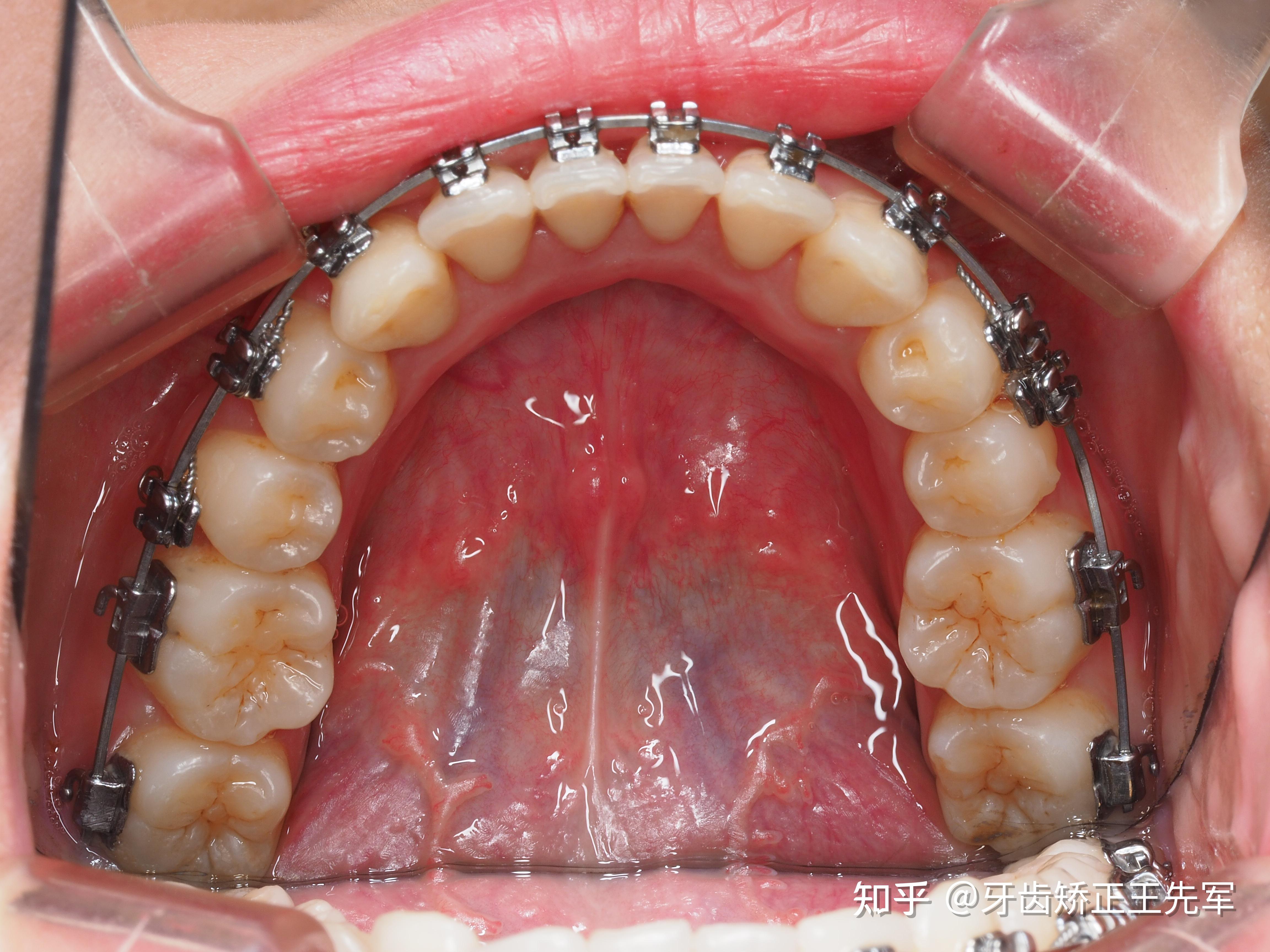
苏州牙齿矫正进口托槽自锁牙套矫正案例分享
图片尺寸4608x3456
的颊侧固定托槽,它与传统非自锁托槽相比,可以明显减少正畸过程中的不
图片尺寸900x479
牙齿矫正金属牙套建议选择自锁
图片尺寸1080x608
广州暨大穗华口腔天河院区内部员工的金属自锁牙套整牙记
图片尺寸600x400
22岁东莞牙齿矫正日记陶瓷自锁牙套
图片尺寸720x960
自锁托槽矫正术
图片尺寸450x350
苏州牙齿矫正进口托槽自锁牙套矫正案例分享
图片尺寸4608x3456
金属自锁托槽矫正
图片尺寸600x400
正畸自锁托槽一代二代 奥索金属自锁托槽直丝弓托槽牙科材料正品
图片尺寸800x800
陶瓷自锁托槽矫正
图片尺寸1023x682
中家医家庭医生口腔谈牙齿矫正:金属自锁托槽好吗
图片尺寸541x300
我戴的是陶瓷自锁托槽矫正器
图片尺寸590x308
苏州牙齿矫正进口托槽自锁牙套矫正案例分享
图片尺寸4608x3456
金属自锁牙齿矫正3999元0首付0利息德国种植牙1888元
图片尺寸660x440
苏州牙齿矫正进口托槽自锁牙套矫正案例分享
图片尺寸4608x3456
金属自锁牙套佩戴
图片尺寸400x400
04自锁托槽矫正
图片尺寸1080x720
自锁正畸托槽相对于传统托槽较大的区别就是在托槽上加了一道"门"
图片尺寸500x236
球面自锁牙齿矫正有哪些优势?
图片尺寸734x272
牙齿矫正:陶瓷和自锁陶瓷牙套,傻傻分不清?
图片尺寸720x514