正畸骨开裂

我们判断骨开窗和骨开裂最直接的办法就是肉眼观察,正畸医生则会通过
图片尺寸640x416
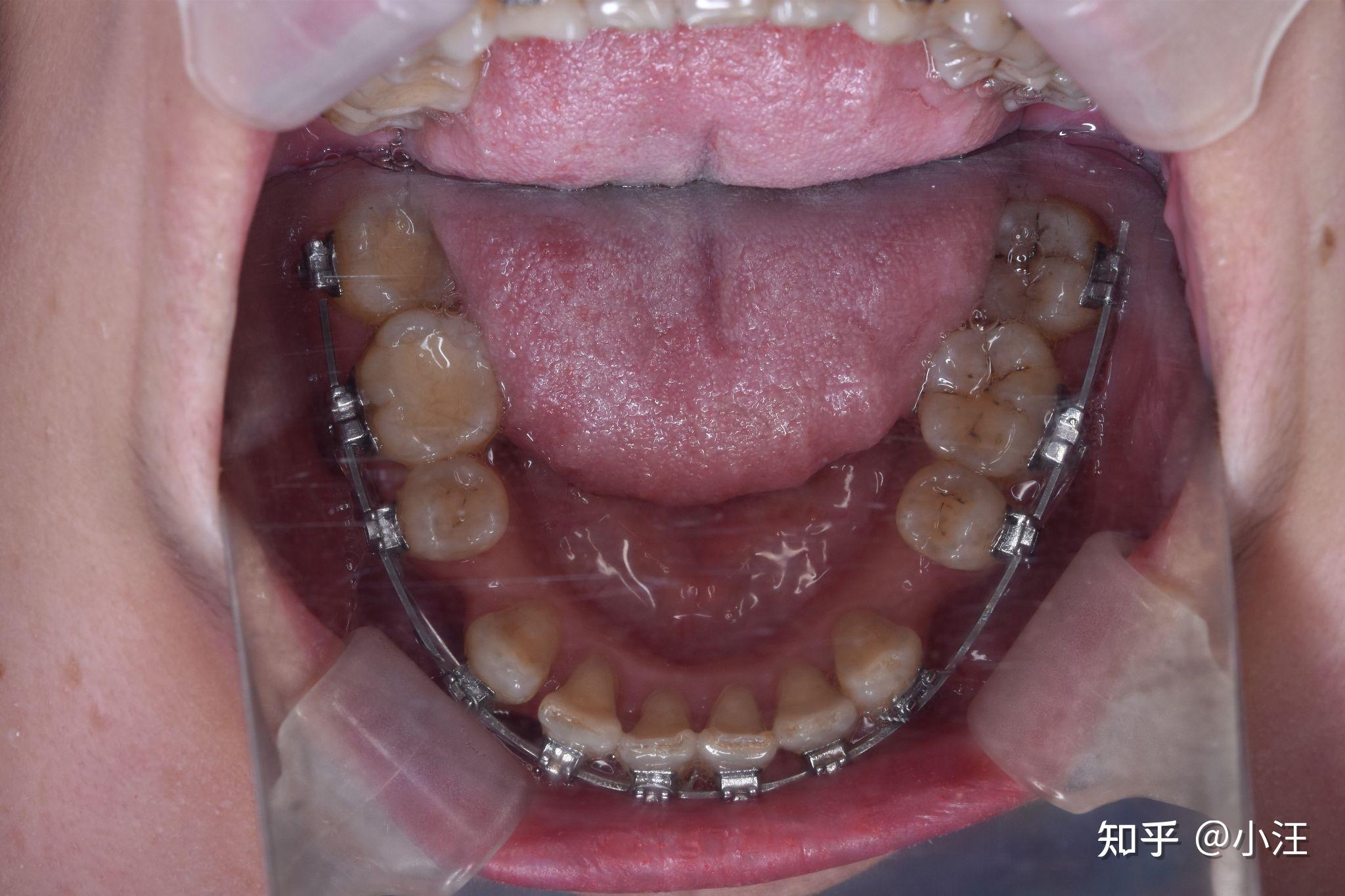
患者男,25岁, 外院转诊,上下牙齿粘有拖槽正在行正畸治疗,主诉牙齿
图片尺寸680x390
正畸形成骨开窗和骨开裂有啥区别?看骨开窗示意图自行判断
图片尺寸600x389
我们判断骨开窗和骨开裂最直接的办法就是肉眼观察,正畸医生则会通过
图片尺寸605x256
《正畸案例41:正畸中的骨开裂与骨开窗》
图片尺寸1920x1440
颞下颌关节骨关节病(tmjoa)相关前牙开合(aob)的正畸治疗方法 - 好
图片尺寸2194x1056
由坏掉的保持器导致的严重骨开裂一例
图片尺寸459x256
正畸中疑似发现骨开窗,另一家医生说是骨开窗,且骨头极薄,随时可能
图片尺寸675x369
找百万大v正畸三年牙骨开裂区卫健局建议申请医疗事故鉴定
图片尺寸3024x1612
《正畸案例41:正畸中的骨开裂与骨开窗》
图片尺寸1920x1440
今天小编来解答正畸过程中出现了骨开窗和骨开裂该怎么治疗!
图片尺寸475x300
正畸第188天 我真的骨开窗骨开裂了吗
图片尺寸977x611
3周后复查dr示:左尺桡骨畸形愈合,成角>20°,查看 查看
图片尺寸2304x1728
唇腭裂的正畸治疗_唇腭裂_治疗方法_治疗方式 - 好大夫在线
图片尺寸610x285
做隐形矫治就选不骨开窗骨开裂的
图片尺寸1080x810
《正畸案例41:正畸中的骨开裂与骨开窗》
图片尺寸1920x1440
我是不是会骨开窗
图片尺寸1080x611
正畸失败该如何继续
图片尺寸2048x1365
唇腭裂的正畸治疗_唇腭裂_治疗方法_治疗方式 - 好大夫在线
图片尺寸610x285
为什么牙齿矫正会出现骨开窗,骨开裂? - 知乎
图片尺寸720x346