泡牙齿图片

9月的时候摔了一跤,掉了两个牙齿,一颗没了,一颗整棵粘回到牙齿里,到
图片尺寸2448x3264
觉得泡沫=清洁力,泡沫越多,清洁力越好,牙齿刷得更干净
图片尺寸576x399
牙齿!
图片尺寸373x500
最里面那颗牙后面的牙肉上长了泡,贼疼.是智齿冠周炎还是口腔溃疡?
图片尺寸640x480
牙龈长泡了 不疼 看着恶心 好久都没好 大概三个月了 牙龈下的两颗牙
图片尺寸768x1024
如图,牙龈上起了个泡是怎么回事呢?
图片尺寸480x640
问:问:左后上牙旁边的泡是怎么回事?
图片尺寸1024x785
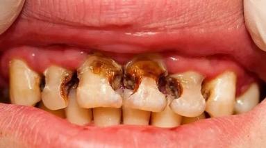
男孩牙齿被泡腐,脱落,竟是爸爸以为的健康方式"害"了
图片尺寸956x623
问:问:左后上牙旁边的泡是怎么回事?
图片尺寸1024x768
幽默段子: 都要笑到牙掉了, 哈哈哈
图片尺寸398x265
无痛无毒无害,是利用仪器手法产品三合一的技术,在牙齿表面做了一层
图片尺寸800x449
在线等!牙齿歪了然后旁边长了一个泡泡,要怎么办?有没有医生帮帮我!
图片尺寸552x767
四岁半,今晚上说牙齿旁边肉那里痛,我用电筒照,里面起泡该怎么
图片尺寸780x1052
牙齿掉了泡牛奶里还能救活
图片尺寸1080x1080
牙齿泡在可乐里会融化结果是这样的
图片尺寸333x220
牙,全都是黑色的蛀牙,而且只要用镊子一捏,牙齿就会像饼干一样碎掉
图片尺寸383x213
从不喝碳酸饮料小孩牙齿却被泡烂
图片尺寸515x343
牙齿泡在可乐里面一年的变化 下面给大家看一个真实的病例:浙江宁波一
图片尺寸551x415
过了两天我们把泡在醋里的牙齿(鸡蛋)拿出来观察.
图片尺寸2200x1650
真那么差嘛稍微吃点海鲜 吃点辣椒它就起来 很大一个泡牙齿还容易磕到
图片尺寸1080x955