液化性坏死

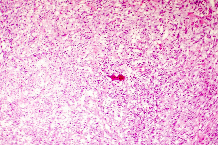
人类的大脑,轻的光学显微镜的液化性坏死照片
图片尺寸450x300
白色物质为完全坏死液化跟腱及腓肠肌肌腱
图片尺寸3648x2736
2012年临床执业助理医师病理学考试辅导讲义 第一章(3)
图片尺寸363x211
人类的大脑轻的光学显微镜的液化性坏死
图片尺寸700x467
肝脓肿的液化性坏死镜下
图片尺寸504x330
4, 伤后第12天在mebo作用下坏死皮肤组织液化排除.
图片尺寸350x234
人类的大脑轻的光学显微镜的液化性坏死
图片尺寸700x467
人类的大脑,轻的光学显微镜的液化性坏死
图片尺寸700x467
创面部分肉芽组织生长,创缘皮下有部分脂肪液化坏死
图片尺寸750x421
【答案解析】_下列哪项是符合液化性坏死的论述()
图片尺寸502x376
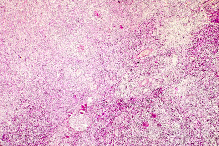
人脑液化性坏死,光学显微镜照片
图片尺寸1200x800
尸体的腐败过程是怎样的
图片尺寸600x450
一例极速进展性皮肤坏死病例分享
图片尺寸4032x3024
一例极速进展性皮肤坏死病例分享
图片尺寸2000x2666
皮肤坏死
图片尺寸500x370
肾脏液化性坏死c.肾脏凝固性坏死d.脾脏液化性坏死查看答案
图片尺寸890x819
一周后周围创面愈合,较深创面开始出现液化坏死
图片尺寸1080x1440
坏死原因机理类型病理变化与结局
图片尺寸640x360
人类的大脑,轻的光学显微镜的液化性坏死照片
图片尺寸450x300
这个皮肤坏死缺损如何修复
图片尺寸1872x3328