淋巴结低倍镜

淋巴结切片.jpg
图片尺寸2051x2061
淋巴结
图片尺寸860x568
淋巴结的低倍 淋巴结皮质
图片尺寸280x190
显微镜下淋巴结横切面
图片尺寸1200x800
淋巴结切片
图片尺寸1600x1200
显微镜下淋巴结横切面
图片尺寸1200x801
显微镜下淋巴结横切面
图片尺寸1200x801
有时转移灶会出现在淋巴结的中间,这是一定要用高倍镜下寻找,必要时
图片尺寸2736x2736
显微镜下淋巴结横切面
图片尺寸1200x801
脖子淋巴结肿大图片
图片尺寸533x300
脖子淋巴结肿大图片
图片尺寸437x300
图像名称淋巴小结
图片尺寸276x400
淋巴结光镜像,请判断图中▲所示的是何种结构.()
图片尺寸584x453
淋巴小结
图片尺寸220x146
淋巴结,在下面,,显微镜,湿
图片尺寸1200x797
显微镜下的淋巴结细胞.
图片尺寸1200x800
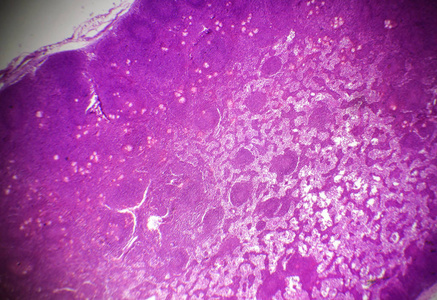
患者男性,12岁,锁骨上窝淋巴结肿大半年,持续低热1月,体重下降,临床
图片尺寸269x584
显微镜下淋巴结横切面
图片尺寸1200x800
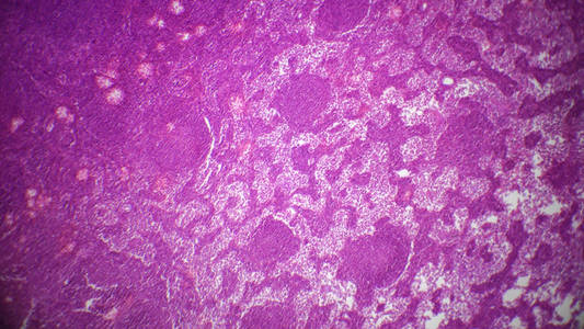
低倍镜显示桥本甲状腺炎.右侧中央可见淋巴结.
图片尺寸504x331
显微镜下淋巴结横切面
图片尺寸1200x800