淋巴结he染色

正确图片组织:淋巴结常规石蜡切片方法:he染色(一)图1:问题图片示例一
图片尺寸1873x1405
图像名称猕猴恒河猴淋巴结浅层皮质颈部淋巴结he染色
图片尺寸499x400
淋巴结
图片尺寸800x600
surgery:黑色文身导致色素性淋巴结病一例
图片尺寸640x236
有没有人会看淋巴结he染色啊#病理 #切片 #医学生
图片尺寸1080x776
结直肠腺癌淋巴结的he染色图像
图片尺寸640x435
肿瘤血管丰富,术后he伊红染色(图5),病理诊断为(中后纵隔)巨淋巴结
图片尺寸620x490
淋巴结
图片尺寸360x270
然后取小鼠肝脏肿瘤行he, ki-67以及beta-catenin染色
图片尺寸2048x1536
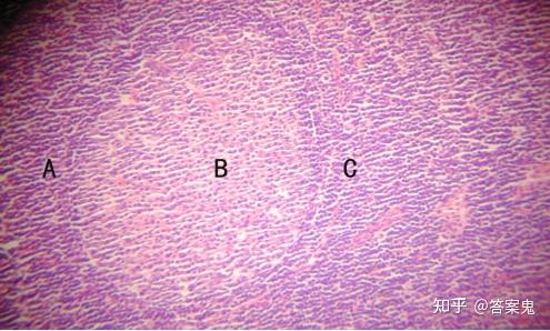
图10-6淋巴小结(淋巴结 he染色10×10) 图示浅层皮质内的淋巴小结为
图片尺寸495x298
he:淋巴细胞浸润
图片尺寸945x532
淋巴结内转移癌 显微图片
图片尺寸658x494
18岁双肺多发肺大疱,最后的病因竟是
图片尺寸1080x847
he染色结果-丁香实验
图片尺寸4000x3000
he染色×70 图4 有较大的淋巴542_763竖版 竖屏
图片尺寸542x763
示淋巴组织细胞及巨大多核巨细胞(he染色×200)
图片尺寸1014x701
真皮内许多组织细胞,胞体大,核呈空泡状,间有淋巴细胞,浆细胞(he染色
图片尺寸814x1181
复查外院前纵隔肿物和淋巴结组织切片.
图片尺寸1800x1349
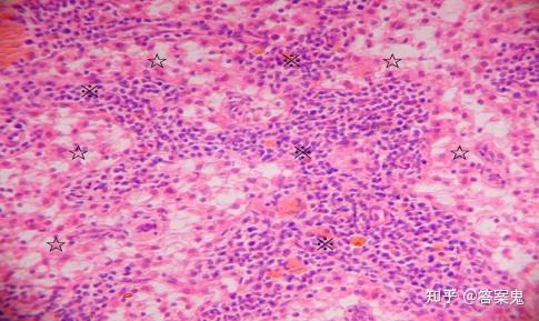
图10-7淋巴结的髓质(淋巴结 he染色10×10) 图示淋巴结髓质的髓索(※)
图片尺寸485x289
he染色masson染色等多种特殊染色
图片尺寸1080x803