混合性腺泡

图30 混合性腺(下颌下腺) 1浆液性腺泡 2黏液性腺泡 3混合性腺泡 4
图片尺寸1080x810
对急慢性,肥厚性,滤.
图片尺寸541x720
腺:浆液性腺(浆液性腺泡),黏液性腺(黏液性腺泡),混合型腺(两种腺泡)
图片尺寸659x470
内分泌系统 教学课件ppt
图片尺寸1080x810
混合性腺泡,由浆液性腺泡和黏液性腺泡构成 ×640
图片尺寸1516x985
照片名称:36粘液性腺泡
图片尺寸670x502
组织学与胚胎学--消化腺 ppt课件
图片尺寸1080x810
查出甲状腺结节距离癌症有多远
图片尺寸804x1144
非侵入式生物科技丰胸智商税还是真材实料
图片尺寸626x553
大唾液腺
图片尺寸499x361
腺泡可分为浆液腺泡,黏液腺泡和混合腺泡三种类型.
图片尺寸1299x856
6涎腺ppt
图片尺寸1080x810
网易博客网站关停,迁移的公告
图片尺寸662x421
小儿幽门螺杆菌感染
图片尺寸364x270
非特异性透明细胞癌详细图解(唾液腺恶性肿瘤的临床病理)
图片尺寸1006x747
混合密度结节,伴有胸膜牵拉,实性成分占50%以上,考虑中高分化腺癌,如
图片尺寸1440x2182
胰腺炎与糖尿病的关系
图片尺寸1161x834
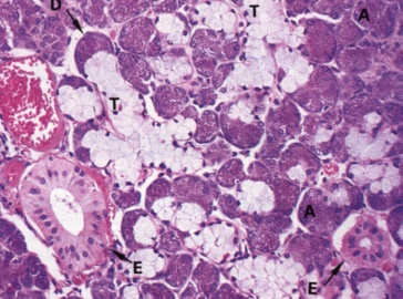
20) 颌下腺浆液性腺泡(△)多,染色浅的粘液性和混合性腺泡(※)较少
图片尺寸485x347
高倍镜示正常乳腺腺泡
图片尺寸504x331
电镜下浆液性腺泡顶端充满分泌颗粒 ×14 000
图片尺寸1516x999