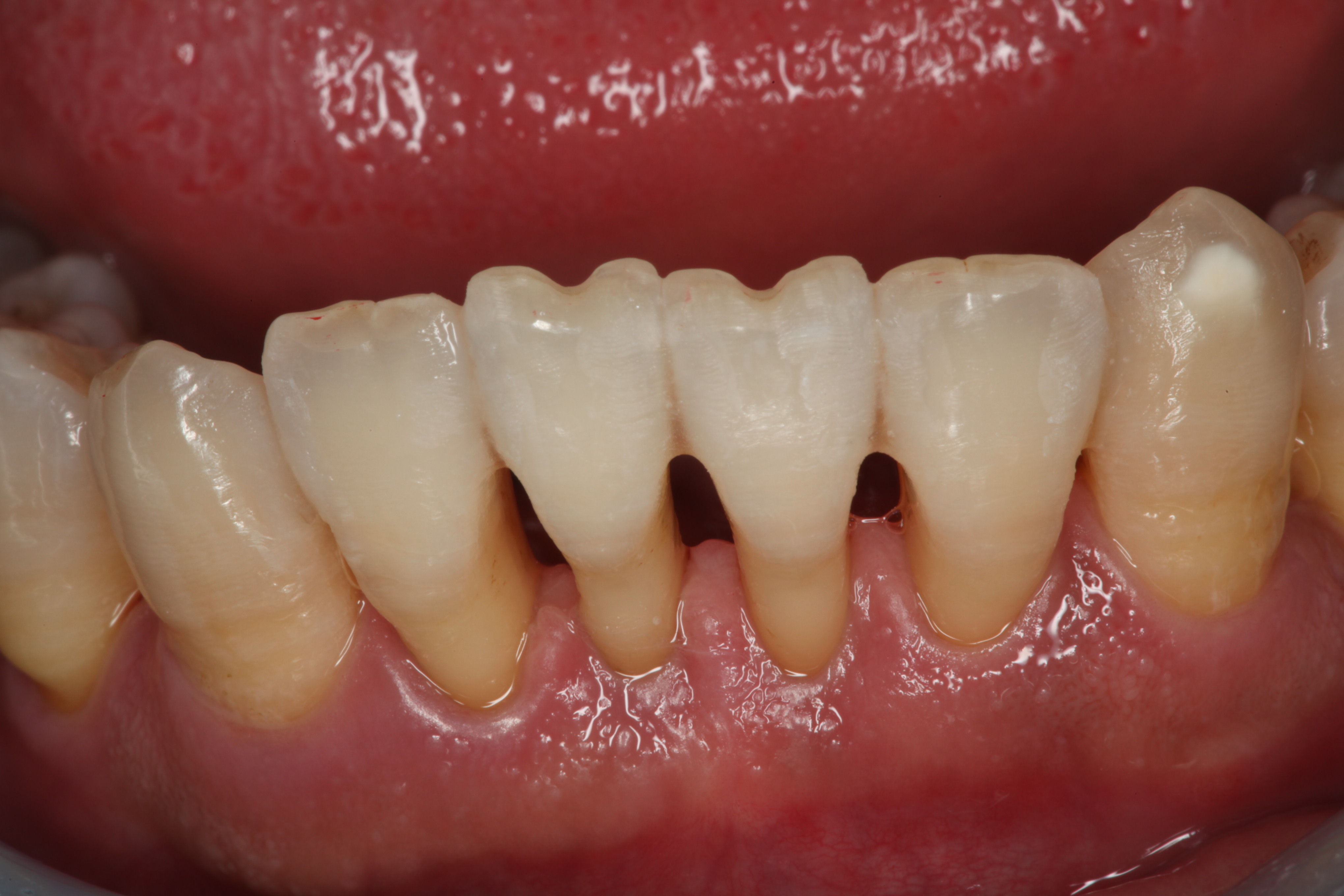
牙周固定

牙周夹板—固定骨折牙齿今天是绕了很多很多橡皮圈的牙齿#口腔医学生
图片尺寸1080x1080
介绍一种老调新弹的松动前牙固定术
图片尺寸560x986![【病例讨论】松动牙固定术一例 [病例帖]](https://i.ecywang.com/upload/1/img1.baidu.com/it/u=42220423,2183628707&fm=253&fmt=auto&app=138&f=JPEG?w=752&h=500)
【病例讨论】松动牙固定术一例 [病例帖]
图片尺寸3008x2000
五,松牙固定术ppt
图片尺寸1080x810
唇侧固定矫治器
图片尺寸1000x667
转正畸科固定
图片尺寸3791x1588
全民爱牙公益行动 如何避免让牙周病"盯上"中老年朋友的牙?
图片尺寸634x388
牙周夹板的分类及临床应用
图片尺寸639x410
松牙固定
图片尺寸1080x810
固定修复牙齿
图片尺寸1620x972
松牙固定术
图片尺寸4080x2720
这有一二三度松动牙固定的方法和价格
图片尺寸615x376
牙周病松动前牙固定术
图片尺寸600x399
牙周夹板的分类及临床应用_手机搜狐网
图片尺寸436x432
牙周夹板的分类及临床应用
图片尺寸639x425
下前牙牙周夹板固定
图片尺寸640x479
请教下老师关于芬力超强纤维牙周夹板固定松动牙齿
图片尺寸334x272
托槽周围结扎丝固定
图片尺寸640x362
牙周治疗松动牙夹板固定
图片尺寸1280x720
矫正左上2后看12间牙龈情况必要时行牙周手术; 3.考虑到左上1
图片尺寸1021x642