牙周炎中期

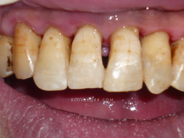
中期牙周炎:牙周袋进一步加深,牙齿松动,移位
图片尺寸500x286
中度牙周炎治疗病例
图片尺寸400x300
牙周专题不小心得了牙周炎该怎么办
图片尺寸720x454
警惕牙齿的慢性杀手牙周病
图片尺寸400x266
牙周健康,我们在行动 牙不好=吃不好 吃不好=消化不好 消 - 抖音
图片尺寸1081x1080
中期牙周炎症状
图片尺寸600x356
牙周病中期
图片尺寸641x426
牙周病: 为何你深受其害,却忽视其存在?
图片尺寸500x494
牙周炎有什么症状 牙周病怎么治疗可以缓解疼痛
图片尺寸640x296
多图不同年龄段牙龈牙周炎患者的牙周情况
图片尺寸640x426
牙周炎的发生,会引起组织发炎,牙龈出血 口腔有害细菌产生的代谢产物
图片尺寸900x500
牙周炎实拍图
图片尺寸400x260
牙周炎的怎么预防和治疗
图片尺寸507x211
牙周病造成牙龈出血,组织发炎,致病的细菌产生代谢产物都会造成口臭.
图片尺寸600x450
多图不同年龄段牙龈牙周炎患者的牙周情况
图片尺寸385x253
能让90后掉牙的牙周炎有这5大早期症状年纪轻轻警惕掉光牙
图片尺寸1024x610
中期晚期牙周炎
图片尺寸570x428
由于牙周病在早,中期没有明显的自觉症状,而绝大部分中国人又没有定期
图片尺寸500x273
牙周炎真的会导致习惯性流产吗
图片尺寸461x240
牙周炎
图片尺寸300x210