牙周炎晚期

1/20牙周炎
图片尺寸480x384
有牙周炎能不能做烤瓷牙?
图片尺寸450x300
综合治疗 牙周病 牙周炎早期表现为牙龈出血,溢脓,口臭或异味,晚期
图片尺寸326x220
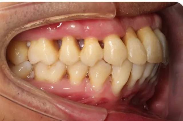
慢性牙周炎特别严重图片
图片尺寸558x500
慢性牙周炎-医联
图片尺寸680x510
患有慢性牙周炎图片
图片尺寸863x500
1/20牙周炎
图片尺寸500x333
修复前修复后纤维带固定术目的就是治疗,保留慢性牙周炎患者因牙周炎
图片尺寸1080x645
牙周炎引起的牙齿松动
图片尺寸500x314
1/20牙周炎
图片尺寸500x293
看完牙周病晚期图片你依然觉得牙周病可以忽视不管吗
图片尺寸300x200
慢性牙周炎及其造成的牙齿缺失
图片尺寸400x274
牙周病能够彻底治愈吗?
图片尺寸500x332
学会如何有效预防牙周炎!
图片尺寸451x280
成人慢性牙周炎系统性治疗一例 | 以菌斑控制为导向的牙周治疗2018
图片尺寸607x401
重度牙周炎的咬合重建修复两年后效果--塘沽牙医吴世超
图片尺寸640x356
大埔区牙周炎专家_大埔区治疗牙周炎哪个专家好_大埔区治疗牙周炎最好
图片尺寸712x500
从量变到质变,产生牙周袋,牙槽骨吸收,牙齿松动,口臭,最后形成牙周炎
图片尺寸640x426
侵袭性牙周炎的疾病诊断
图片尺寸378x240
慢性牙周炎该怎么治疗好
图片尺寸801x488