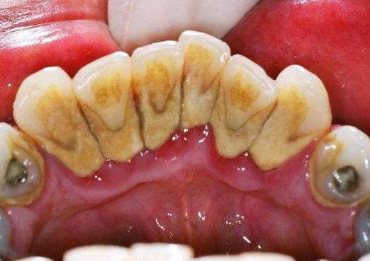
牙垢牙结石

什么是牙垢和牙结石?
图片尺寸900x500
"牙结石"长时间不清理,有什么危害?
图片尺寸1152x745
别再洗牙了过来人教你3招牙垢牙结石一刷就掉直省大几千
图片尺寸640x420
"牙结石"可以自己抠掉吗?教你一招,牙缝脏东西或可轻松掉
图片尺寸640x377
牙结石的危害知多少? 当牙垢积聚,细 - 抖音
图片尺寸1078x1192
牙缝里厚厚的牙结石怎么去除?学会这一招,牙垢牙石自动脱落!
图片尺寸2000x1250
牙结石|牙垢|牙菌斑|口腔_网易订阅
图片尺寸450x262
牙垢和牙结石的成因和危害性区别
图片尺寸466x355
怎么去除牙垢洗一次牙结石大概多少钱
图片尺寸1280x802
牙结石|牙菌斑|牙周炎|洁牙_网易订阅
图片尺寸550x336
建议了解下|牙结石|牙菌斑|牙膏|口腔|牙刷_网易订阅
图片尺寸604x404
牙结石是牢固黏附在牙齿表面的硬质异物,是在牙垢,牙_圈子-新氧美容
图片尺寸1280x960
牙结石怎么去除牙结石的形成及自己动手去除牙石
图片尺寸516x363
什么是牙垢和牙结石?
图片尺寸900x500
牙齿一天两刷,还是有"牙结石"?三个好方法,让牙垢自己掉!
图片尺寸542x368
牙菌斑|牙结石|漱口水|口腔|蛀牙_网易订阅
图片尺寸660x495
牙结石是什么 怎么去除牙结石?
图片尺寸522x369
满嘴牙结石又臭又硬牙医学会2个小妙招口臭牙垢不见了
图片尺寸627x371
怎么去除牙垢洗一次牙结石大概多少钱
图片尺寸1276x868
牙菌斑|牙结石|牙面|牙缝_网易订阅
图片尺寸660x407