牙外伤处理

小牙齿受到外伤怎么办
图片尺寸1080x602
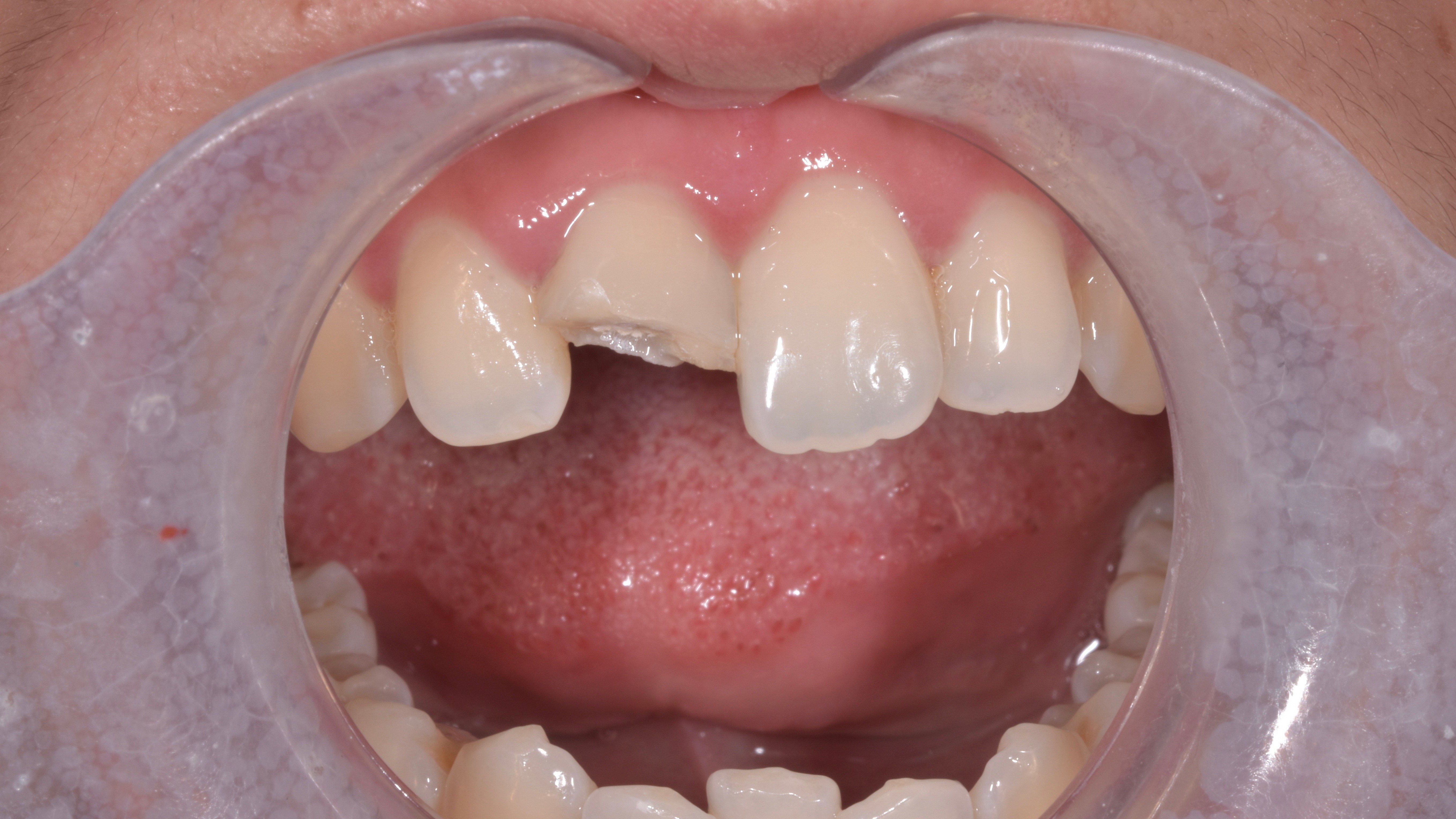
门牙外伤折断即拔即种即刻修复一例 - 知乎
图片尺寸5472x3648
小孩牙外伤正确处理方法
图片尺寸1080x810
牙外伤最好发的部位为切牙,就是我们通常所说的"门牙"9292因为
图片尺寸1080x1005
牙外伤治疗的病例分享与思考盛列平教授
图片尺寸1001x567
外伤牙齿修复后效果 - 好大夫在线
图片尺寸5432x3056
健康科普一图学会牙齿外伤急救办法
图片尺寸640x5733
外伤左上一修复及戴牙
图片尺寸616x589
复杂前牙外伤的多学科联合治疗篇幅有限,仅做部分病例展示……使用
图片尺寸560x373
外伤前牙再植术
图片尺寸640x457
种植盾构术修复前牙外伤病例分析
图片尺寸600x463
学会牙外伤急救磕断的牙齿还能活
图片尺寸640x792
一例前牙外伤患者的口腔多学科联合治疗及后续追踪
图片尺寸640x426
牙齿外伤的应急处理方法
图片尺寸920x1301
儿童发生恒牙外伤应该怎么办?
图片尺寸3932x3932
前牙外伤的应急处理 ★ 牙医宋文博
图片尺寸620x620
孩子牙齿外伤断裂怎么办
图片尺寸494x529
牙齿外伤
图片尺寸2976x2976
复杂牙外伤的断牙再接活髓保存一例
图片尺寸1080x720
孩子牙齿磕坏了 请掌握这些紧急处理方法
图片尺寸1333x1253