牙线不齐图片

牙齿中线偏斜求矫正
图片尺寸1136x852
面对塞牙恶势力,你还不使用牙线么
图片尺寸1080x1080
2019年9月11日,带牙套时一般使用电动牙刷和水牙线清洁牙齿,拆除牙套
图片尺寸3072x4096
清洁_刷牙_牙齿矫正_郑州_清洁口腔_牙线_运动_郑州牙齿矫正_美妆_医
图片尺寸1080x540
牙套真人案例:455天,告别一口獠牙|牙线|牙套|牙齿_新浪新闻
图片尺寸640x915
牙线的正确使用方法
图片尺寸1080x649
试过了水牙线我才知道自己的牙缝里塞了多少宝贝
图片尺寸1080x607
剔牙选牙签还是牙线?从漱口感知到的精准护龈
图片尺寸640x427
口腔清洁会用牙线还不够有完没完啊
图片尺寸690x460
口腔清洁会用牙线还不够有完没完啊
图片尺寸1024x768
拿什么拯救你我的下牙_牙线_牙医_冲牙器_刷牙_医疗健康_医疗健康其他
图片尺寸1080x540
清洁_刷牙_牙齿矫正_郑州_清洁口腔_牙线_运动_郑州牙齿矫正_美妆_医
图片尺寸1080x540
口腔清洁会用牙线还不够有完没完啊
图片尺寸476x337
良好的刷牙 牙线 冲牙器可以最大程度(接近100%)的达到口腔清洁要求
图片尺寸1400x654
口腔医学生|牙缝塞东西不要怕牙线用起来
图片尺寸1080x1439
u1s1这个宝宝牙线真的好用
图片尺寸1080x810
或许将面临4个问题,望你早做了解|牙线|牙签|牙缝_新浪新闻
图片尺寸1280x854
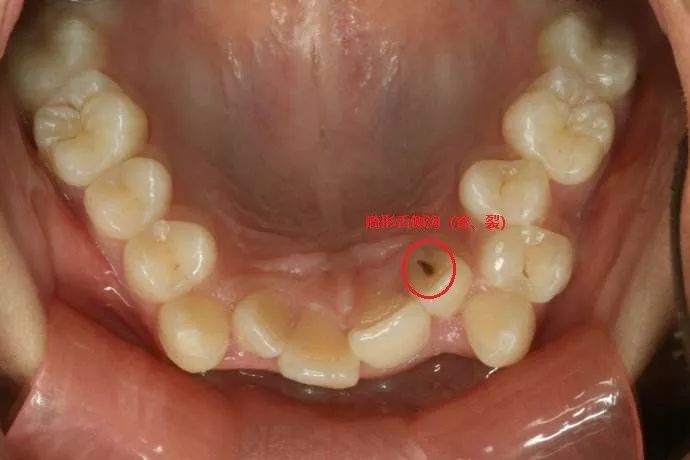
因为牙线麻烦,清洁做的不到位,舌侧牙
图片尺寸1080x1440
深覆合 牙齿不齐自用品:166牙线(无所谓品牌 都差不多)每次吃完饭必
图片尺寸1080x1439
轴式牙线or牙线棒,到底哪个好?
图片尺寸650x361