牙结石的危害

牙结石的存在还会妨碍刷牙,时间一长,使更多的食物残渣及细菌储留
图片尺寸900x925
【口腔大咖说】读懂牙结石的危害,这就是牙医让你洗牙的原因
图片尺寸480x320
牙结石有什么危害牙结石可以怎么去除
图片尺寸500x551
为什么牙结石多的地方虫牙很少? - 知乎
图片尺寸587x630
柯基宝宝来清理牙结石啦~牙结石的危害不单单是牙黄口臭 牙龈萎 - 抖
图片尺寸1440x1440
看看牙结石是如何一步步毁掉你的牙
图片尺寸640x469
多年不洗牙牙结石堆成钟乳石是时候放下对洗牙的偏见了
图片尺寸640x396
牙结石的危害到底有多大你真的知道吗
图片尺寸1080x1440
为啥会长牙结石可以直接用手抠掉吗医生揭晓答案
图片尺寸640x401
牙结石有什么危害?如果缓解?
图片尺寸818x751
牙结石到底有多大危害
图片尺寸436x292
长期不洗牙牙结石的危害大吗内附牙结石图片慎入
图片尺寸500x399
洗牙是通过清理牙周围的牙结石,污渍来达到牙齿清洁的过程.
图片尺寸640x1036
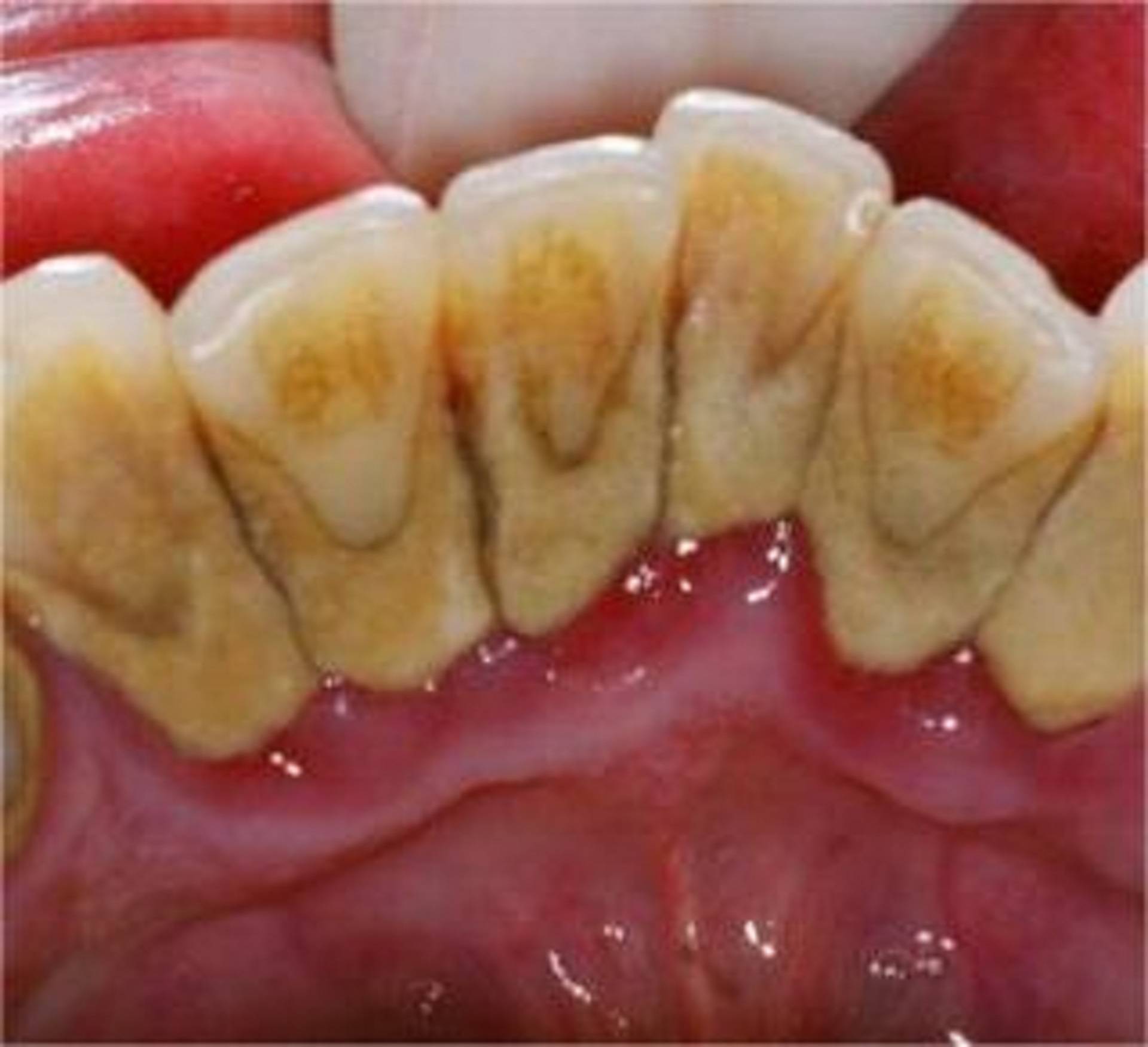
牙结石的本命牙粉!只用两个月全部脱落!
图片尺寸1920x1751
成年人牙齿出现黄牙,龋齿,牙结石等
图片尺寸752x570
关爱口腔健康-------认识牙结石的危害
图片尺寸1080x1626
牙结石的危害 牙结石对牙齿产生的4个危害
图片尺寸750x934
牙结石隐藏了这些可怕的危害你只知道一点
图片尺寸481x339
预防牙周病,防止牙齿松落; 有效清除牙菌斑,预防牙结石; 防止牙龈出血
图片尺寸604x661
用手抠掉牙结石?医生劝你住手,用绝佳方法清除难道不香吗?
图片尺寸720x372