牙质子图片

牙颈部的牙釉质很少,容易出现敏感,即便修补了,如果不注意刷牙方式
图片尺寸690x920
轻度牙釉质发育不全图
图片尺寸750x500
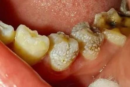
5大原因揭秘,这样做轻松告别牙垢!
图片尺寸2048x1479
牙齿表面为什么有纹路呢?
图片尺寸1024x1024
邢台口腔修复专家王静:牙釉质重度磨耗怎么办?
图片尺寸752x748
🦷牙釉质发育不全:原因与影响
图片尺寸750x500
门牙上有黄点小凹坑图片
图片尺寸750x500
牙齿脱矿##牙齿
图片尺寸690x414
牙釉质发育不全:牙齿的"保护层"为何变脆弱?
图片尺寸444x297
儿童牙釉质发育不良图片
图片尺寸750x500
牙釉质发育不全
图片尺寸533x400
杭州13岁女生烂了12颗牙,妈妈大吃一惊:每天都刷牙啊
图片尺寸706x457
大门牙中间烂了个窟窿图片
图片尺寸750x500
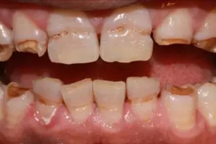
牙齿磨损?是怎么回事?应该怎么办?
图片尺寸1178x776
🦷 牙釉质:牙齿的坚硬外衣 🛡️
图片尺寸800x1067
牙齿长坑坑洼洼?可能是发育警报!
图片尺寸2048x1365
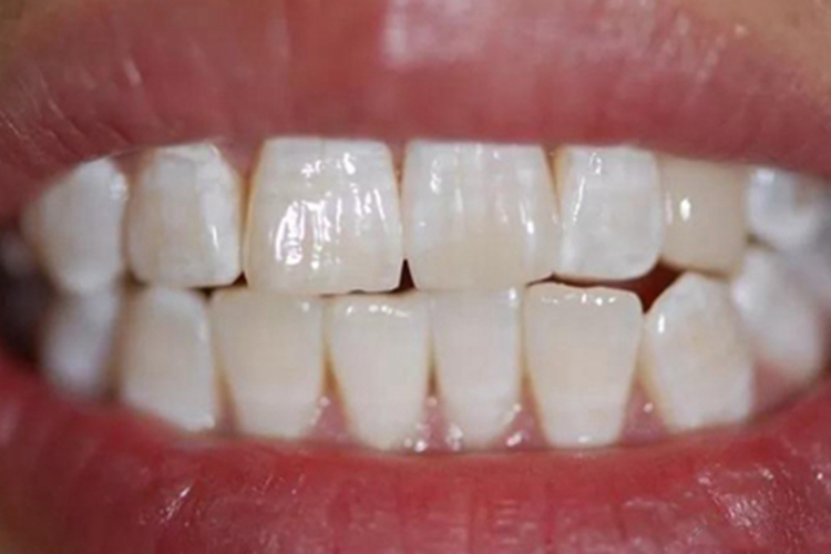
孩子牙齿突然变白先别高兴,很有可能是
图片尺寸936x711
有条件最好是橡皮章下!#大板牙# #后磨牙
图片尺寸1920x1080
牙釉质发育不全牙齿白斑图
图片尺寸750x500
牙结石又黄又厚?康复者分享45天去除经验,直接省下一个亿!
图片尺寸2000x1497