牙齿上有黑点

当心,牙齿上的小黑点,可能是吞钱的无底洞 牙齿上的小黑点到底是什么
图片尺寸1223x1280
宝宝牙齿上的"黑点点"真碍眼,能去掉吗?
图片尺寸1080x720
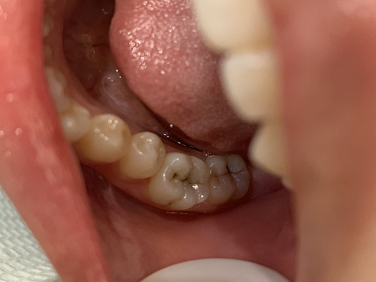
后槽牙齿有黑点
图片尺寸620x620
牙齿上有如图所示的黑点.请问是蛀牙吗?怎么补救?
图片尺寸4095x2303
宝贝牙齿小黑点是什么?02有妈妈问儿童牙齿上的黑色东西是啥?
图片尺寸1000x505
友友们,请问牙齿上有这种小黑点是蛀牙吗?要管它吗
图片尺寸1080x1197
牙齿上这小黑点不痛不痒却是烧钱无底洞再不注意分分钟花掉你的买车钱
图片尺寸563x588
牙医的忠实警告:当你的牙齿出现小黑点时,要警惕啦!
图片尺寸676x442
牙疼,发现大牙有黑点点,这是什么?有什么办法修复吗?
图片尺寸500x694
补牙牙齿上的小黑点真的只是小黑点下面可能隐藏着巨大的龋坏
图片尺寸993x620
牙齿上出现这种"小黑点",你要注意了,基本能毁掉整颗牙!
图片尺寸406x312
我大牙齿上有这样的小黑点,最后一颗大牙中间有点发黑,每天都刷两次牙
图片尺寸1200x1600
牙齿上有如图所示的黑点.请问是蛀牙吗?怎么补救?
图片尺寸600x337
牙齿上这种"小黑点"是什么东西
图片尺寸640x384
最近发现自己牙齿上有小黑点,就在在新氧咨询了在这家_圈子-新氧美容
图片尺寸1280x960
牙齿上的黑斑是怎么回事?
图片尺寸553x277
牙齿上面有个黑点,怎么确认是不是蛀牙!我半个月前做过一次洁牙
图片尺寸500x562
牙齿上出现黑点有必要治疗吗需要的话治疗费用多少
图片尺寸500x333
牙齿上的小黑点怎么去掉?
图片尺寸585x1040
牙齿上出现这种小黑点请注意!
图片尺寸600x315