牙齿内翻图片

内倾型深覆合蜕变记
图片尺寸2456x1628
内倾型深覆合蜕变记
图片尺寸2266x1626
内倾型深覆合蜕变记
图片尺寸2417x1654
【图】牙内陷
图片尺寸900x497
小朋友5周岁,有地包天,居住深圳,小朋友矫正牙齿能不能走医保卡?
图片尺寸1080x1439
深覆合牙齿内倾
图片尺寸1284x1712
牙齿
图片尺寸500x300
友友们觉得我这样的牙齿需要整吗
图片尺寸1080x810
问题很长,慢慢看.
图片尺寸480x640
正畸日记【初始篇】
图片尺寸500x375
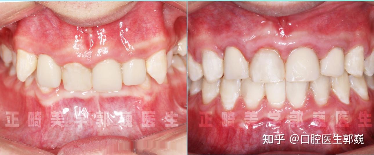
内倾型深覆合 - 知乎
图片尺寸1329x594
一颗牙齿向内倾斜的情况
图片尺寸557x393
请问各位牙医们,为什么我下面中间的两颗牙会向内斜
图片尺寸1024x576
女儿新换的牙齿下颚长出来有两颗严重错位,请问有知道的网友知道能
图片尺寸1024x1024
牙齿内倾深覆合以前还好最近吃东西的时候老_圈子-新氧美容整形
图片尺寸570x760
牙齿深覆合上面两颗门牙内倾下面牙齿排列拥挤
图片尺寸768x1024
内倾型深覆合蜕变记
图片尺寸2222x1660
我的牙齿是不是内收过度了.感觉现在好丑
图片尺寸1080x1440
深覆合内倾,矫正失误,牙齿不长在牙槽骨里.
图片尺寸595x595
内倾型深覆合 - 知乎
图片尺寸1289x534