牙齿畸形种类

冯楠医生擅长矫正的畸形牙齿
图片尺寸515x390
这些习惯都可能导致厦门孩子牙齿畸形不仅会变丑还有更严重的危害
图片尺寸600x600
常见牙齿不齐牙齿畸形症状图片
图片尺寸410x600
昆明小孩牙齿矫正多少钱群里宝妈说很贵大概要10000元
图片尺寸455x347
这几种牙齿畸形你知道吗再不矫正就晚了
图片尺寸1080x733
牙齿的错颌畸形有哪些类型以及牙齿错颌畸形的危害?
图片尺寸479x344
牙齿错颌畸形的危害,你知道几个
图片尺寸400x254
牙齿矫正是否有最佳时间?_牙颌畸形_牙颌畸形治疗方式 - 好大夫在线
图片尺寸915x527
71【儿童反颌】由于经常允指,吐舌头等不良习惯导致的儿童牙齿问题
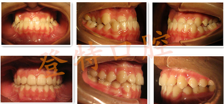
图片尺寸883x417
除此之外,又有哪些牙齿是有存在"问题",需要进行牙齿矫
图片尺寸5820x2584
家长必看:孩子15岁前必须处理的11种畸形牙齿
图片尺寸490x367
家长必看:孩子15岁前必须处理的11种畸形牙齿
图片尺寸381x253
这么多种牙齿畸形,不矫正有什么影响吗?
图片尺寸1543x672
各种牙齿畸形做矫正价格表更新!-医秀网
图片尺寸500x327
齿间缝隙牙弓与牙齿大小无法配合,当牙齿太小牙弓太大时,会造成牙齿
图片尺寸884x422
牙齿畸形种类
图片尺寸624x338
有统一且广泛应用的标准,帮助我们更系统性的了解牙齿错颌畸形这一
图片尺寸689x456
常见的牙齿畸形都有哪些?
图片尺寸447x249
六大常见畸形牙及案例分享
图片尺寸876x408
如何更有效的向医生咨询牙齿矫正问题?
图片尺寸1600x1066