牙齿种植前后

老爸做的4颗半口即刻负重种植牙挺靠谱的点赞刘体亮院长
图片尺寸1095x1074
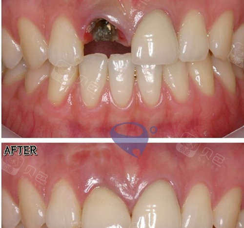
种植牙修复前后对比照片
图片尺寸400x400
武汉大众口腔camlog种植牙参考!,牙齿矫正-8682赴韩整形网
图片尺寸1264x888
太仓种植牙价格表_全口牙齿种植_太仓牙博士口腔
图片尺寸414x163
鹤壁种植牙一颗多少钱 国产百康特种植牙包干价4000元起贵不
图片尺寸500x600
沈阳种植牙好的医院排名公布,揭秘沈阳种植牙一颗多少钱
图片尺寸500x332
而且种植牙牙齿和正常牙齿没有色差
图片尺寸500x467
不如直接在线咨询《《《 人工种植牙几乎能够修复各种牙齿缺失以后
图片尺寸413x531
查看大图瓷贴面修复牙齿案例查看大图种植牙前后对比案例医院简介医生
图片尺寸944x926
淮安种植牙多少钱一颗|为什么越来越多的人种牙?
图片尺寸921x256
半口,全口种植牙收费价格表更新,看半口,全口收费贵不
图片尺寸500x375
种植一颗牙齿价格是多少?北京,上海种植牙收费价格表更新
图片尺寸500x339
多颗种植_牙齿矫正|福州种植牙中心|福州隐形矫正中心|福州牙科医院
图片尺寸1036x347
2021全国种植牙齿专科医院排名出炉,牙齿对比照片-8682赴韩整形网
图片尺寸550x300
主页 牙齿种植 种植牙案例 【患者简介】 姓名:乔太太
图片尺寸440x220
>>牙齿种植的价格?咨询
图片尺寸386x361
种植牙松动是什么原因如何避免种植牙松动这几点必看
图片尺寸500x467
种植牙齿前后对比图
图片尺寸400x279
全面讲述种植牙过程
图片尺寸500x182
主页 牙齿种植 单科缺失 4,安全舒适:激光定位,数字智能化操作系统
图片尺寸444x270