牙齿问题图片

满口牙齿外面全都有黑色牙垢,刷牙可以去掉一点牙垢,到底是哪里的问题
图片尺寸2100x1575
为什么牙齿问题都想要拖着?
图片尺寸557x371
那些儿童常见的牙齿问题千万不要拖到12岁换牙才看
图片尺寸518x300
顾客牙齿拥挤,牙列不齐想要通过牙齿矫正改善牙齿问题_圈子-新氧美容
图片尺寸1712x1284
不同时期的牙齿健康问题你中招了吗
图片尺寸1080x1334
层次不齐的牙齿
图片尺寸800x533
成年人有多少颗牙齿(研究发现) - 青木春
图片尺寸1080x687
他们家看过牙齿的牙友们都说在他们家看牙不仅不用担心医生的技术问题
图片尺寸500x282
牙龈和牙周炎口腔牙齿口腔牙齿
图片尺寸1280x853
尤其是还在发育期的宝宝,发现孩子牙齿有排列不齐或稀疏,错位等问题
图片尺寸500x333
的颈部出现了实质性缺损的问题,其实说白了就是牙齿颈部上的一道凹槽
图片尺寸500x333
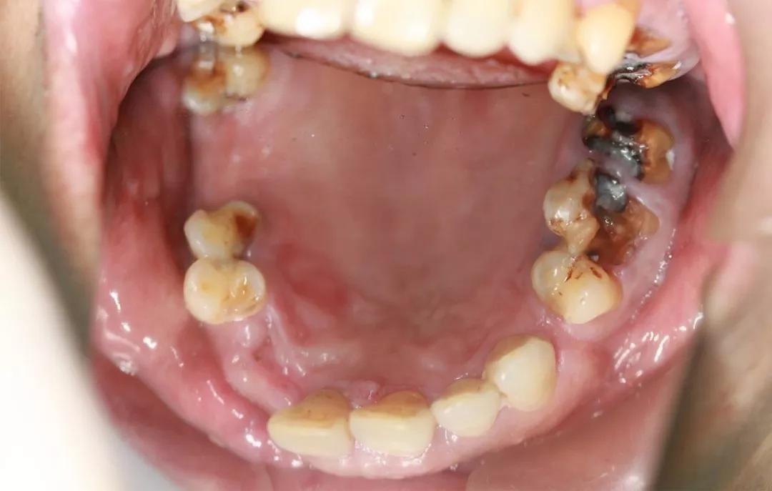
如果你的蛀牙到这种程度了,就不能靠补牙拯救了!_牙齿
图片尺寸1080x1245
牙医在线-欢迎各位前来咨询探讨各类牙齿问题(续) - 玩主论坛
图片尺寸497x677
如何更有效的向医生咨询牙齿矫正问题?
图片尺寸1600x1066
梦见牙掉了牙齿掉了梦见自己满口牙全掉了
图片尺寸363x527
第1期科普:牙齿脏了人就脏了
图片尺寸3024x4030
所以遇到口腔问题也不会及时跟家长说,导致后期对牙齿的损伤越来越大
图片尺寸500x333
牙龈问题特写老妇女牙齿问题与牙龈或牙垢健康的牙科概念照片
图片尺寸525x300
需要进行补牙的牙齿问题
图片尺寸600x458
成年人牙齿矫正须知以下事宜
图片尺寸583x343