牙齿黑色污垢

牙齿这样子是怎么回事,还有点疼
图片尺寸864x1152
牙齿发黑怎么办 求医生 帮忙
图片尺寸780x1040
牙齿矫正
图片尺寸570x428
牙齿怎么变黑了?
图片尺寸415x236
牙齿里面会有黑黑的污垢刷牙刷不掉.怎么回事?
图片尺寸776x1048
那些特别爱喝可乐的人他们的牙齿后来怎么样了
图片尺寸510x312
牙齿里的这种东西除了洗牙和购买电动牙刷在家里有什么办法除去?
图片尺寸720x1280
黑色背景上有龋齿大孔的单牙差.不健康的牙齿照片
图片尺寸400x300
长虫牙怎么办 而且现在洞深了 黑黑的 但是不疼 没感觉
图片尺寸600x800
门牙补完牙之后还有黑的?
图片尺寸720x566
牙齿里面会有黑黑的污垢刷牙刷不掉.怎么回事?
图片尺寸776x1048
布满牙结石和烟渍与茶垢的智齿
图片尺寸390x260
健康常识 > 正文 抽烟时间长了就会在牙齿上面形成一层咖啡色的
图片尺寸400x300
很爽_牙齿
图片尺寸1024x698
病人的患病牙齿照片
图片尺寸400x300
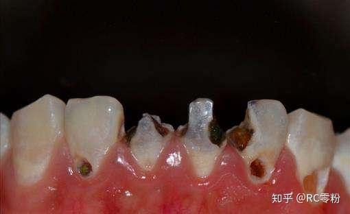
最开始牙齿做了根管治疗没有好好的保护导致后面牙齿变黑什么美白方式
图片尺寸828x552
牙齿缝隙如何清洁(牙齿缝隙黑色沉着的原因及解决方法)-52线报网
图片尺寸500x321
牙齿内侧脱落一块是什么情况?
图片尺寸1840x3264
我很自卑啊,因为牙齿的问题,牙齿之间的缝隙太大了,有没有治的办法呢.
图片尺寸976x1296
腐烂的牙齿在一个黑色的背景
图片尺寸1200x959