牙龈牙周

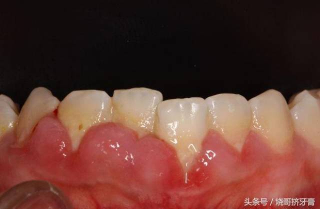
牙龈出血,肿胀,牙龈退缩,其实这些也就是我们常说的牙周病的一系列
图片尺寸1242x450
大部分都是牙周炎造成的,那么如果20多岁就出现了牙龈萎缩怎么办呢
图片尺寸636x447
症状一,牙龈出血牙周炎症状表现为牙龈红肿,出血,而出现不仅仅是在
图片尺寸640x325
多图不同年龄段牙龈牙周炎患者的牙周情况
图片尺寸640x426
日本百年品牌专攻牙龈出血牙周病的极盐牙膏舒缓口腔清新口气
图片尺寸640x692
简科普/牙龈炎和牙周炎的区别之二 - 好大夫在线
图片尺寸902x560
怎么消除?_牙周炎_牙周炎症状表现 - 好大夫在线
图片尺寸1400x873
德伦口腔教你如何区分牙周炎和牙龈炎
图片尺寸358x367
稍有不慎就会赔上一辈子的遗憾 认识牙龈炎,牙周病
图片尺寸600x460
重度牙周炎导致牙龈萎缩
图片尺寸600x470
牙龈炎牙周炎和牙髓炎的症状和区别 看看医生怎么讲
图片尺寸643x691
牙龈牙周脓肿该怎么办怎么治疗有哪些方法预防牙龈脓肿
图片尺寸500x321
稍有不慎就会赔上一辈子的遗憾 认识牙龈炎,牙周病
图片尺寸600x450
医生洗牙为什么要将牙龈翻开这会伤害到牙龈吗
图片尺寸284x298
常见的牙周病包括:牙龈炎和牙周炎.
图片尺寸700x703
牙周炎,牙龈炎,牙周病,看牙科前先看此文
图片尺寸960x542
牙周炎要切掉牙龈到底有多恐怖
图片尺寸620x405
牙龈肿痛牙齿出血是上火大错特错这可能是严重的牙周病
图片尺寸582x205
德伦口腔教你如何区分牙周炎和牙龈炎
图片尺寸569x343
牙龈炎与牙周炎有什么不一样吗?
图片尺寸392x300